Quiz:Gastrointestinal polyps 1

From Libre Pathology
Jump to navigation Jump to search

This is a little quiz to test your knowledge gastrointestinal tract polyps!

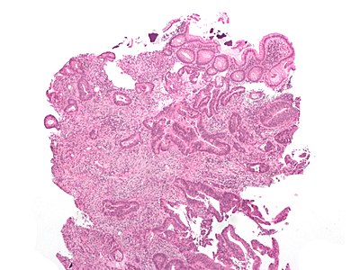
1

Diagnosis?
Tubular adenoma 4 high mag.jpg

Adenocarcinoma
Colorectal mucosa within normal limits
Ganglioneuroma
Hyperplastic polyp
Inflammatory polyp
Juvenile polyp
Peutz-Jeghers polyp
Sessile serrated adenoma
Traditional serrated adenoma
Tubular adenoma
Tubulovillous adenoma
Villous adenoma
Xanthomatous polyp

2

Diagnosis?
Cecal adenocarcinoma.jpg

Adenocarcinoma
Colorectal mucosa within normal limits
Ganglioneuroma
Hyperplastic polyp
Inflammatory polyp
Juvenile polyp
Peutz-Jeghers polyp
Sessile serrated adenoma
Traditional serrated adenoma
Tubular adenoma
Tubulovillous adenoma
Villous adenoma
Xanthomatous polyp

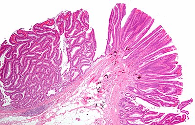
3

Diagnosis?
Gastric juvenile polyp - very low mag.jpg

Adenocarcinoma
Colorectal mucosa within normal limits
Ganglioneuroma
Hyperplastic polyp
Inflammatory polyp
Juvenile polyp
Peutz-Jeghers polyp
Sessile serrated adenoma
Traditional serrated adenoma
Tubular adenoma
Tubulovillous adenoma
Villous adenoma
Xanthomatous polyp

4

Diagnosis?
Sessile serrated adenoma 3 intermed mag.jpg

Adenocarcinoma
Colorectal mucosa within normal limits
Ganglioneuroma
Hyperplastic polyp
Inflammatory polyp
Juvenile polyp
Peutz-Jeghers polyp
Sessile serrated adenoma
Traditional serrated adenoma
Tubular adenoma
Tubulovillous adenoma
Villous adenoma
Xanthomatous polyp

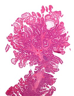
5

Diagnosis?
Tubulovillous adenoma.jpg

Adenocarcinoma
Colorectal mucosa within normal limits
Ganglioneuroma
Hyperplastic polyp
Inflammatory polyp
Juvenile polyp
Peutz-Jeghers polyp
Sessile serrated adenoma
Traditional serrated adenoma
Tubular adenoma
Tubulovillous adenoma
Villous adenoma
Xanthomatous polyp

6

Diagnosis?
Peutz-Jeghers syndrome polyp.jpg

Adenocarcinoma
Colorectal mucosa within normal limits
Ganglioneuroma
Hyperplastic polyp
Inflammatory polyp
Juvenile polyp
Peutz-Jeghers polyp
Sessile serrated adenoma
Traditional serrated adenoma
Tubular adenoma
Tubulovillous adenoma
Villous adenoma
Xanthomatous polyp

7

Diagnosis?
Inflammatory polyp -- very low mag.jpg

Adenocarcinoma
Colorectal mucosa within normal limits
Ganglioneuroma
Hyperplastic polyp
Inflammatory polyp
Juvenile polyp
Peutz-Jeghers polyp
Sessile serrated adenoma
Traditional serrated adenoma
Tubular adenoma
Tubulovillous adenoma
Villous adenoma
Xanthomatous polyp

8

Diagnosis?
Traditional serrated adenoma low mag.jpg

Adenocarcinoma
Colorectal mucosa within normal limits
Ganglioneuroma
Hyperplastic polyp
Inflammatory polyp
Juvenile polyp
Peutz-Jeghers polyp
Sessile serrated adenoma
Traditional serrated adenoma
Tubular adenoma
Tubulovillous adenoma
Villous adenoma
Xanthomatous polyp

9

Diagnosis?
Sessile serrated adenoma 2 intermed mag.jpg

Adenocarcinoma
Colorectal mucosa within normal limits
Ganglioneuroma
Hyperplastic polyp
Inflammatory polyp
Juvenile polyp
Peutz-Jeghers polyp
Sessile serrated adenoma
Traditional serrated adenoma
Tubular adenoma
Tubulovillous adenoma
Villous adenoma
Xanthomatous polyp

10

Diagnosis?
Xanthomatous polyp -- low mag.jpg

Adenocarcinoma
Colorectal mucosa within normal limits
Ganglioneuroma
Hyperplastic polyp
Inflammatory polyp
Juvenile polyp
Peutz-Jeghers polyp
Sessile serrated adenoma
Traditional serrated adenoma
Tubular adenoma
Tubulovillous adenoma
Villous adenoma
Xanthomatous polyp