Quiz:Salivary gland 1

From Libre Pathology
Jump to navigation Jump to search

This is a little quiz to test your knowledge salivary gland pathology!

1

Diagnosis?
Adenoid cystic carcinoma - high mag.jpg

Acinic cell carcinoma
Adenoid cystic carcinoma
Basal cell adenocarcinoma
Basal cell adenoma
Carcinoma ex pleomorphic adenoma
Chronic sialadenitis
Cribriform adenocarcinoma of the minor salivary gland
Epithelial-myoepithelial carcinoma
Hyalinizing clear cell carcinoma
Mucoepidermoid carcinoma
Mammary analogue secretory carcinoma
Oncocytoma of the salivary gland
Pleomorphic adenoma
Polymorphous low grade adenocarcinoma
Salivary duct carcinoma
Sebaceous lymphadenoma
Warthin tumour

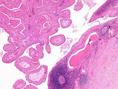
2

Diagnosis?
Papillary cystadenoma lymphomatosum2.jpg

Acinic cell carcinoma
Adenoid cystic carcinoma
Basal cell adenocarcinoma
Basal cell adenoma
Carcinoma ex pleomorphic adenoma
Chronic sialadenitis
Cribriform adenocarcinoma of the minor salivary gland
Epithelial-myoepithelial carcinoma
Hyalinizing clear cell carcinoma
Mucoepidermoid carcinoma
Mammary analogue secretory carcinoma
Oncocytoma of the salivary gland
Pleomorphic adenoma
Polymorphous low grade adenocarcinoma
Salivary duct carcinoma
Sebaceous lymphadenoma
Warthin tumour

3

Diagnosis?
Acinic cell carcinoma - very high mag.jpg

Acinic cell carcinoma
Adenoid cystic carcinoma
Basal cell adenocarcinoma
Basal cell adenoma
Carcinoma ex pleomorphic adenoma
Chronic sialadenitis
Cribriform adenocarcinoma of the minor salivary gland
Epithelial-myoepithelial carcinoma
Hyalinizing clear cell carcinoma
Mucoepidermoid carcinoma
Mammary analogue secretory carcinoma
Oncocytoma of the salivary gland
Pleomorphic adenoma
Polymorphous low grade adenocarcinoma
Salivary duct carcinoma
Sebaceous lymphadenoma
Warthin tumour

4

Diagnosis?
Sebaceous lymphadenoma - intermed mag.jpg

Acinic cell carcinoma
Adenoid cystic carcinoma
Basal cell adenocarcinoma
Basal cell adenoma
Carcinoma ex pleomorphic adenoma
Chronic sialadenitis
Cribriform adenocarcinoma of the minor salivary gland
Epithelial-myoepithelial carcinoma
Hyalinizing clear cell carcinoma
Mucoepidermoid carcinoma
Mammary analogue secretory carcinoma
Oncocytoma of the salivary gland
Pleomorphic adenoma
Polymorphous low grade adenocarcinoma
Salivary duct carcinoma
Sebaceous lymphadenoma
Warthin tumour

5

Diagnosis?
Carcinoma ex pleomorphic adenoma - a1 -- low mag.jpg

Acinic cell carcinoma
Adenoid cystic carcinoma
Basal cell adenocarcinoma
Basal cell adenoma
Carcinoma ex pleomorphic adenoma
Chronic sialadenitis
Cribriform adenocarcinoma of the minor salivary gland
Epithelial-myoepithelial carcinoma
Hyalinizing clear cell carcinoma
Mucoepidermoid carcinoma
Mammary analogue secretory carcinoma
Oncocytoma of the salivary gland
Pleomorphic adenoma
Polymorphous low grade adenocarcinoma
Salivary duct carcinoma
Sebaceous lymphadenoma
Warthin tumour

6

Diagnosis?
Salivary duct carcinoma - low mag.jpg

Acinic cell carcinoma
Adenoid cystic carcinoma
Basal cell adenocarcinoma
Basal cell adenoma
Carcinoma ex pleomorphic adenoma
Chronic sialadenitis
Cribriform adenocarcinoma of the minor salivary gland
Epithelial-myoepithelial carcinoma
Hyalinizing clear cell carcinoma
Mucoepidermoid carcinoma
Mammary analogue secretory carcinoma
Oncocytoma of the salivary gland
Pleomorphic adenoma
Polymorphous low grade adenocarcinoma
Salivary duct carcinoma
Sebaceous lymphadenoma
Warthin tumour

7

Diagnosis?
Epithelial-myoepithelial carcinoma - high mag.jpg

Acinic cell carcinoma
Adenoid cystic carcinoma
Basal cell adenocarcinoma
Basal cell adenoma
Carcinoma ex pleomorphic adenoma
Chronic sialadenitis
Cribriform adenocarcinoma of the minor salivary gland
Epithelial-myoepithelial carcinoma
Hyalinizing clear cell carcinoma
Mucoepidermoid carcinoma
Mammary analogue secretory carcinoma
Oncocytoma of the salivary gland
Pleomorphic adenoma
Polymorphous low grade adenocarcinoma
Salivary duct carcinoma
Sebaceous lymphadenoma
Warthin tumour

8

Diagnosis?
Hyalinizing clear cell carcinoma - high mag.jpg

Acinic cell carcinoma
Adenoid cystic carcinoma
Basal cell adenocarcinoma
Basal cell adenoma
Carcinoma ex pleomorphic adenoma
Chronic sialadenitis
Cribriform adenocarcinoma of the minor salivary gland
Epithelial-myoepithelial carcinoma
Hyalinizing clear cell carcinoma
Mucoepidermoid carcinoma
Mammary analogue secretory carcinoma
Oncocytoma of the salivary gland
Pleomorphic adenoma
Polymorphous low grade adenocarcinoma
Salivary duct carcinoma
Sebaceous lymphadenoma
Warthin tumour

9

Tongue lesion - diagnosis?
Cribriform adenocarcinoma of the tongue - a1 -- intermed mag.jpg

Acinic cell carcinoma
Adenoid cystic carcinoma
Basal cell adenocarcinoma
Basal cell adenoma
Carcinoma ex pleomorphic adenoma
Chronic sialadenitis
Cribriform adenocarcinoma of the minor salivary gland
Epithelial-myoepithelial carcinoma
Hyalinizing clear cell carcinoma
Mucoepidermoid carcinoma
Mammary analogue secretory carcinoma
Oncocytoma of the salivary gland
Pleomorphic adenoma
Polymorphous low grade adenocarcinoma
Salivary duct carcinoma
Sebaceous lymphadenoma
Warthin tumour

10

Diagnosis?
Mucoepidermoid carcinoma - 2 - high mag.jpg

Acinic cell carcinoma
Adenoid cystic carcinoma
Basal cell adenocarcinoma
Basal cell adenoma
Carcinoma ex pleomorphic adenoma
Chronic sialadenitis
Cribriform adenocarcinoma of the minor salivary gland
Epithelial-myoepithelial carcinoma
Hyalinizing clear cell carcinoma
Mucoepidermoid carcinoma
Mammary analogue secretory carcinoma
Oncocytoma of the salivary gland
Pleomorphic adenoma
Polymorphous low grade adenocarcinoma
Salivary duct carcinoma
Sebaceous lymphadenoma
Warthin tumour