Quiz:Brain tumours 1

From Libre Pathology
Jump to navigation Jump to search

This is a little quiz to test your knowledge brain tumours!

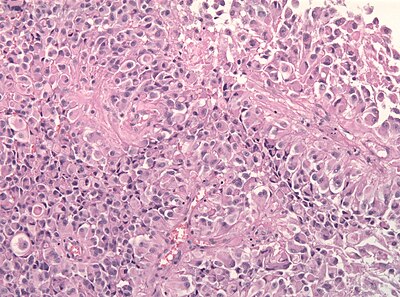
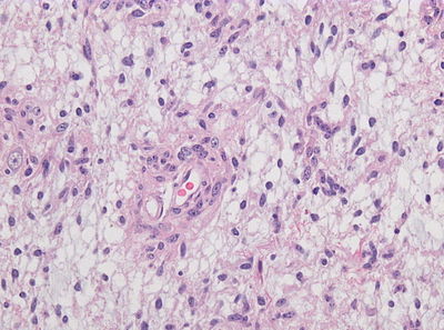
1

Diagnosis?
Epitheloid glioblastoma HE.jpg

Pilocytic astrocytoma
Diffuse Astrocytoma
Pleomorphic xanthoastrocytoma
Subependymal giant cell astrocytoma
Oligodendroglioma
Glioblastoma, classic
Glioblastoma, epitheloid
Giant cell glioblastoma
Gliosarcoma
Ependymoma
Subependymoma
Myxopapillary ependymoma
Ganglioglioma
Choroid plexus papilloma
Angiocentric glioma
Dysembryoplastic neuroepithelial tumour
Neurocytoma
Paraganglioma
Pineocytoma
Papillary glioneuronal tumour
Medulloblastoma
CNS PNET

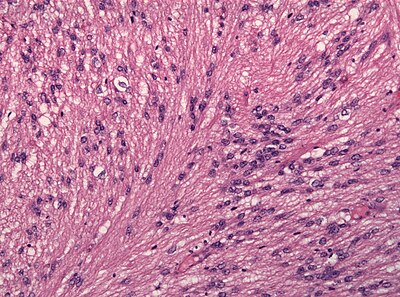
2

Diagnosis?
Myxopapillary ependymoma-HE.jpg

Pilocytic astrocytoma
Diffuse Astrocytoma
Pleomorphic xanthoastrocytoma
Subependymal giant cell astrocytoma
Oligodendroglioma
Glioblastoma, classic
Glioblastoma, epitheloid
Giant cell glioblastoma
Gliosarcoma
Ependymoma
Subependymoma
Myxopapillary ependymoma
Ganglioglioma
Choroid plexus papilloma
Angiocentric glioma
Dysembryoplastic neuroepithelial tumour
Neurocytoma
Paraganglioma
Pineocytoma
Papillary glioneuronal tumour
Medulloblastoma
CNS PNET

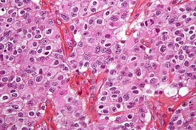
3

Diagnosis?
Neuropathology case V 03.jpg

Pilocytic astrocytoma
Diffuse Astrocytoma
Pleomorphic xanthoastrocytoma
Subependymal giant cell astrocytoma
Oligodendroglioma
Glioblastoma, classic
Glioblastoma, epitheloid
Giant cell glioblastoma
Gliosarcoma
Ependymoma
Subependymoma
Myxopapillary ependymoma
Ganglioglioma
Choroid plexus papilloma
Angiocentric glioma
Dysembryoplastic neuroepithelial tumour
Neurocytoma
Paraganglioma
Pineocytoma
Papillary glioneuronal tumour
Medulloblastoma
CNS PNET

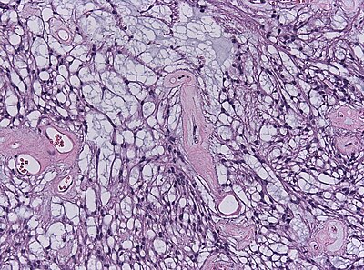
4

Diagnosis?
Oligodendroglioma1 high mag.jpg

Pilocytic astrocytoma
Diffuse Astrocytoma
Pleomorphic xanthoastrocytoma
Subependymal giant cell astrocytoma
Oligodendroglioma
Glioblastoma, classic
Glioblastoma, epitheloid
Giant cell glioblastoma
Gliosarcoma
Ependymoma
Subependymoma
Myxopapillary ependymoma
Ganglioglioma
Choroid plexus papilloma
Angiocentric glioma
Dysembryoplastic neuroepithelial tumour
Neurocytoma
Paraganglioma
Pineocytoma
Papillary glioneuronal tumour
Medulloblastoma
CNS PNET

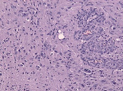
5

Diagnosis?
Tanicytic ependymoma x10.jpg

Pilocytic astrocytoma
Diffuse Astrocytoma
Pleomorphic xanthoastrocytoma
Subependymal giant cell astrocytoma
Oligodendroglioma
Glioblastoma, classic
Glioblastoma, epitheloid
Giant cell glioblastoma
Gliosarcoma
Ependymoma
Subependymoma
Myxopapillary ependymoma
Ganglioglioma
Choroid plexus papilloma
Angiocentric glioma
Dysembryoplastic neuroepithelial tumour
Neurocytoma
Paraganglioma
Pineocytoma
Papillary glioneuronal tumour
Medulloblastoma
CNS PNET

6

Diagnosis?
Subependymoma HE x40.jpg

Pilocytic astrocytoma
Diffuse Astrocytoma
Pleomorphic xanthoastrocytoma
Subependymal giant cell astrocytoma
Oligodendroglioma
Glioblastoma, classic
Glioblastoma, epitheloid
Giant cell glioblastoma
Gliosarcoma
Ependymoma
Subependymoma
Myxopapillary ependymoma
Ganglioglioma
Choroid plexus papilloma
Angiocentric glioma
Dysembryoplastic neuroepithelial tumour
Neurocytoma
Paraganglioma
Pineocytoma
Papillary glioneuronal tumour
Medulloblastoma
CNS PNET

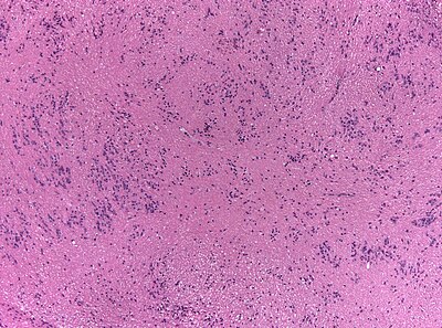
7

Diagnosis?
Gbm all in one.jpg

Pilocytic astrocytoma
Diffuse Astrocytoma
Pleomorphic xanthoastrocytoma
Subependymal giant cell astrocytoma
Oligodendroglioma
Glioblastoma, classic
Glioblastoma, epitheloid
Giant cell glioblastoma
Gliosarcoma
Ependymoma
Subependymoma
Myxopapillary ependymoma
Ganglioglioma
Choroid plexus papilloma
Angiocentric glioma
Dysembryoplastic neuroepithelial tumour
Neurocytoma
Paraganglioma
Pineocytoma
Papillary glioneuronal tumour
Medulloblastoma
CNS PNET

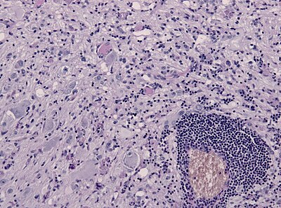
8

Diagnosis?
Ganglioglioma lymphocytic cuffing PAS.jpg

Pilocytic astrocytoma
Diffuse Astrocytoma
Pleomorphic xanthoastrocytoma
Subependymal giant cell astrocytoma
Oligodendroglioma
Glioblastoma, classic
Glioblastoma, epitheloid
Giant cell glioblastoma
Gliosarcoma
Ependymoma
Subependymoma
Myxopapillary ependymoma
Ganglioglioma
Choroid plexus papilloma
Angiocentric glioma
Dysembryoplastic neuroepithelial tumour
Neurocytoma
Paraganglioma
Pineocytoma
Papillary glioneuronal tumour
Medulloblastoma
CNS PNET