Quiz:Pap test 3

From Libre Pathology
Jump to navigation Jump to search

This is a little quiz to test your gynecologic cytopathology knowledge!

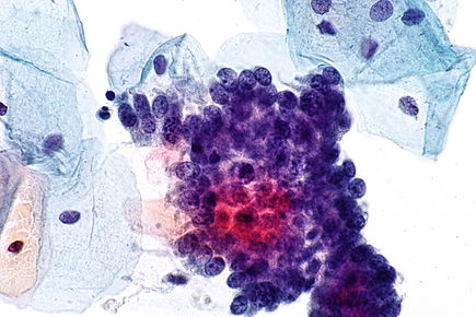
1

Diagnosis?
High-grade squamous intraepithelial lesion - 4 -- very high mag.jpg

NILM
NILM endocervical cells
NILM endometrial cells
NILM reactive
NILM herpes
NILM candida
NILM trichomonas
ASCUS
LSIL
HSIL
AIS
Adenocarcinoma

2

Diagnosis?
Trichomonas - Pap - 2 -- very high mag.jpg

NILM
NILM endocervical cells
NILM endometrial cells
NILM reactive
NILM herpes
NILM candida
NILM trichomonas
ASCUS
LSIL
HSIL
AIS
Adenocarcinoma

3

Diagnosis?
Adenocarcinoma - Pap test -- very high mag.gif

NILM
NILM endocervical cells
NILM endometrial cells
NILM reactive
NILM herpes
NILM candida
NILM trichomonas
ASCUS
LSIL
HSIL
AIS
Adenocarcinoma

4

Diagnosis?
Low-grade squamous intraepithelial lesion - 2 -- very high mag.jpg

NILM
NILM endocervical cells
NILM endometrial cells
NILM reactive
NILM herpes
NILM candida
NILM trichomonas
ASCUS
LSIL
HSIL
AIS
Adenocarcinoma

5

Diagnosis?
Serous carcinoma - Pap -- very high mag.jpg

NILM
NILM endocervical cells
NILM endometrial cells
NILM reactive
NILM herpes
NILM candida
NILM trichomonas
ASCUS
LSIL
HSIL
AIS
Adenocarcinoma

6

Diagnosis?
Parabasal cells - Pap test - 3 -- very high mag.jpg

NILM
NILM endocervical cells
NILM endometrial cells
NILM reactive
NILM herpes
NILM candida
NILM trichomonas
ASCUS
LSIL
HSIL
AIS
Adenocarcinoma

7

Diagnosis?
Atypical squamous cell of undetermined significance - 1a -- high mag.jpg

NILM
NILM endocervical cells
NILM endometrial cells
NILM reactive
NILM herpes
NILM candida
NILM trichomonas
ASCUS
LSIL
HSIL
AIS
Adenocarcinoma

8

Diagnosis?
Benign endocervical epithelium - 2 - alt -- high mag.jpg

NILM
NILM endocervical cells
NILM endometrial cells
NILM reactive
NILM herpes
NILM candida
NILM trichomonas
ASCUS
LSIL
HSIL
AIS
Adenocarcinoma

9

Diagnosis?
Endocervical adenocarcinoma in situ - cyto - alt -- very high mag.jpg

NILM
NILM endocervical cells
NILM endometrial cells
NILM reactive
NILM herpes
NILM candida
NILM trichomonas
ASCUS
LSIL
HSIL
AIS
Adenocarcinoma

10

Diagnosis?
Navicular cell - alt -- very high mag.jpg

NILM
NILM endocervical cells
NILM endometrial cells
NILM reactive
NILM herpes
NILM candida
NILM trichomonas
ASCUS
LSIL
HSIL
AIS
Adenocarcinoma