Difference between revisions of "Quiz:Kidney tumours 1"

From Libre Pathology
Jump to navigation Jump to search
(+SDH RCC)
m (touch)
Line 1: Line 1:
This is a little quiz to test your knowledge [[kidney tumours]]!
This is a little quiz to test your knowledge [[kidney tumours]]!  


<quiz display=simple>
<quiz display=simple>

Revision as of 02:41, 13 December 2016

This is a little quiz to test your knowledge kidney tumours!

1

Diagnosis?
Sarcomatoid differentiation in renal cell carcinoma -- intermed mag.jpg

Angiomyolipoma
Benign kidney
Chromophobe renal cell carcinoma (classic)
Chromophobe renal cell carcinoma (eosinophilic)
Clear cell papillary renal cell carcinoma
Clear cell renal cell carcinoma
Collecting duct carcinoma
Cystic nephroma/mixed epithelial stromal tumour
HLRCC syndrome associated RCC
Hybrid oncocytic/chromophobe tumour
Metastatic carcinoma
Mucinous tubular and spindle cell carcinoma
Oncocytoma
Papillary renal cell carcinoma
Renal cell carcinoma, unclassified
Renal medullary carcinoma
Succinate dehydrogenase-deficient renal cell carcinoma
t(6;11) translocation carcinoma
Tubulocystic renal cell carcinoma
Urothelial carcinoma
Wilms tumour
Xanthogranulomatous pyelonephritis
Xp11.2 translocation carcinoma

2

Diagnosis?
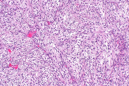
Wilms tumour - high mag.jpg

Angiomyolipoma
Benign kidney
Chromophobe renal cell carcinoma (classic)
Chromophobe renal cell carcinoma (eosinophilic)
Clear cell papillary renal cell carcinoma
Clear cell renal cell carcinoma
Collecting duct carcinoma
Cystic nephroma/mixed epithelial stromal tumour
HLRCC syndrome associated RCC
Hybrid oncocytic/chromophobe tumour
Metastatic carcinoma
Mucinous tubular and spindle cell carcinoma
Oncocytoma
Papillary renal cell carcinoma
Renal cell carcinoma, unclassified
Renal medullary carcinoma
Succinate dehydrogenase-deficient renal cell carcinoma
t(6;11) translocation carcinoma
Tubulocystic renal cell carcinoma
Urothelial carcinoma
Wilms tumour
Xanthogranulomatous pyelonephritis
Xp11.2 translocation carcinoma

3

Diagnosis?
Clear cell renal cell carcinoma - 2 -- high mag.jpg

Angiomyolipoma
Benign kidney
Chromophobe renal cell carcinoma (classic)
Chromophobe renal cell carcinoma (eosinophilic)
Clear cell papillary renal cell carcinoma
Clear cell renal cell carcinoma
Collecting duct carcinoma
Cystic nephroma/mixed epithelial stromal tumour
HLRCC syndrome associated RCC
Hybrid oncocytic/chromophobe tumour
Metastatic carcinoma
Mucinous tubular and spindle cell carcinoma
Oncocytoma
Papillary renal cell carcinoma
Renal cell carcinoma, unclassified
Renal medullary carcinoma
Succinate dehydrogenase-deficient renal cell carcinoma
t(6;11) translocation carcinoma
Tubulocystic renal cell carcinoma
Urothelial carcinoma
Wilms tumour
Xanthogranulomatous pyelonephritis
Xp11.2 translocation carcinoma

4

Diagnosis?
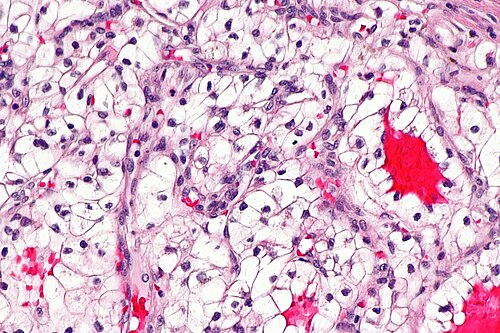
Renal oncocytoma -- high mag.jpg

Angiomyolipoma
Benign kidney
Chromophobe renal cell carcinoma (classic)
Chromophobe renal cell carcinoma (eosinophilic)
Clear cell papillary renal cell carcinoma
Clear cell renal cell carcinoma
Collecting duct carcinoma
Cystic nephroma/mixed epithelial stromal tumour
HLRCC syndrome associated RCC
Hybrid oncocytic/chromophobe tumour
Metastatic carcinoma
Mucinous tubular and spindle cell carcinoma
Oncocytoma
Papillary renal cell carcinoma
Renal cell carcinoma, unclassified
Renal medullary carcinoma
Succinate dehydrogenase-deficient renal cell carcinoma
t(6;11) translocation carcinoma
Tubulocystic renal cell carcinoma
Urothelial carcinoma
Wilms tumour
Xanthogranulomatous pyelonephritis
Xp11.2 translocation carcinoma

5

Diagnosis?
Cystic nephroma -- low mag.jpg

Angiomyolipoma
Benign kidney
Chromophobe renal cell carcinoma (classic)
Chromophobe renal cell carcinoma (eosinophilic)
Clear cell papillary renal cell carcinoma
Clear cell renal cell carcinoma
Collecting duct carcinoma
Cystic nephroma/mixed epithelial stromal tumour
HLRCC syndrome associated RCC
Hybrid oncocytic/chromophobe tumour
Metastatic carcinoma
Mucinous tubular and spindle cell carcinoma
Oncocytoma
Papillary renal cell carcinoma
Renal cell carcinoma, unclassified
Renal medullary carcinoma
Succinate dehydrogenase-deficient renal cell carcinoma
t(6;11) translocation carcinoma
Tubulocystic renal cell carcinoma
Urothelial carcinoma
Wilms tumour
Xanthogranulomatous pyelonephritis
Xp11.2 translocation carcinoma

6

Diagnosis?
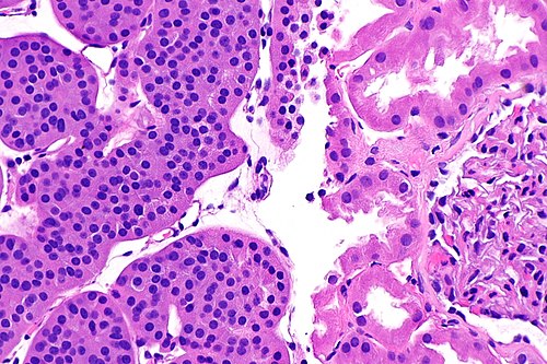
Chromophobe renal cell carcinoma -- intermed mag.jpg

Angiomyolipoma
Benign kidney
Chromophobe renal cell carcinoma (classic)
Chromophobe renal cell carcinoma (eosinophilic)
Clear cell papillary renal cell carcinoma
Clear cell renal cell carcinoma
Collecting duct carcinoma
Cystic nephroma/mixed epithelial stromal tumour
HLRCC syndrome associated RCC
Hybrid oncocytic/chromophobe tumour
Metastatic carcinoma
Mucinous tubular and spindle cell carcinoma
Oncocytoma
Papillary renal cell carcinoma
Renal cell carcinoma, unclassified
Renal medullary carcinoma
Succinate dehydrogenase-deficient renal cell carcinoma
t(6;11) translocation carcinoma
Tubulocystic renal cell carcinoma
Urothelial carcinoma
Wilms tumour
Xanthogranulomatous pyelonephritis
Xp11.2 translocation carcinoma

7

Diagnosis?
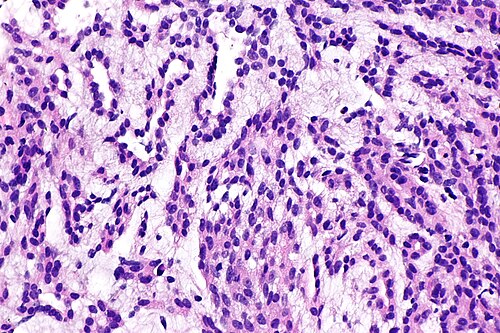
Papillary renal cell carcinoma - 2 -- intermed mag.jpg

Angiomyolipoma
Benign kidney
Chromophobe renal cell carcinoma (classic)
Chromophobe renal cell carcinoma (eosinophilic)
Clear cell papillary renal cell carcinoma
Clear cell renal cell carcinoma
Collecting duct carcinoma
Cystic nephroma/mixed epithelial stromal tumour
HLRCC syndrome associated RCC
Hybrid oncocytic/chromophobe tumour
Metastatic carcinoma
Mucinous tubular and spindle cell carcinoma
Oncocytoma
Papillary renal cell carcinoma
Renal cell carcinoma, unclassified
Renal medullary carcinoma
Succinate dehydrogenase-deficient renal cell carcinoma
t(6;11) translocation carcinoma
Tubulocystic renal cell carcinoma
Urothelial carcinoma
Wilms tumour
Xanthogranulomatous pyelonephritis
Xp11.2 translocation carcinoma

8

Diagnosis?
Clear cell papillary renal cell carcinoma - very high mag.jpg

Angiomyolipoma
Benign kidney
Chromophobe renal cell carcinoma (classic)
Chromophobe renal cell carcinoma (eosinophilic)
Clear cell papillary renal cell carcinoma
Clear cell renal cell carcinoma
Collecting duct carcinoma
Cystic nephroma/mixed epithelial stromal tumour
HLRCC syndrome associated RCC
Hybrid oncocytic/chromophobe tumour
Metastatic carcinoma
Mucinous tubular and spindle cell carcinoma
Oncocytoma
Papillary renal cell carcinoma
Renal cell carcinoma, unclassified
Renal medullary carcinoma
Succinate dehydrogenase-deficient renal cell carcinoma
t(6;11) translocation carcinoma
Tubulocystic renal cell carcinoma
Urothelial carcinoma
Wilms tumour
Xanthogranulomatous pyelonephritis
Xp11.2 translocation carcinoma

9

Diagnosis?
Eosinophilic variant of chromophobe renal cell carcinoma -- high mag.jpg

Angiomyolipoma
Benign kidney
Chromophobe renal cell carcinoma (classic)
Chromophobe renal cell carcinoma (eosinophilic)
Clear cell papillary renal cell carcinoma
Clear cell renal cell carcinoma
Collecting duct carcinoma
Cystic nephroma/mixed epithelial stromal tumour
HLRCC syndrome associated RCC
Hybrid oncocytic/chromophobe tumour
Metastatic carcinoma
Mucinous tubular and spindle cell carcinoma
Oncocytoma
Papillary renal cell carcinoma
Renal cell carcinoma, unclassified
Renal medullary carcinoma
Succinate dehydrogenase-deficient renal cell carcinoma
t(6;11) translocation carcinoma
Tubulocystic renal cell carcinoma
Urothelial carcinoma
Wilms tumour
Xanthogranulomatous pyelonephritis
Xp11.2 translocation carcinoma

10

Diagnosis?
Renal mucinous tubular and spindle cell carcinoma -- high mag.jpg

Angiomyolipoma
Benign kidney
Chromophobe renal cell carcinoma (classic)
Chromophobe renal cell carcinoma (eosinophilic)
Clear cell papillary renal cell carcinoma
Clear cell renal cell carcinoma
Collecting duct carcinoma
Cystic nephroma/mixed epithelial stromal tumour
HLRCC syndrome associated RCC
Hybrid oncocytic/chromophobe tumour
Metastatic carcinoma
Mucinous tubular and spindle cell carcinoma
Oncocytoma
Papillary renal cell carcinoma
Renal cell carcinoma, unclassified
Renal medullary carcinoma
Succinate dehydrogenase-deficient renal cell carcinoma
t(6;11) translocation carcinoma
Tubulocystic renal cell carcinoma
Urothelial carcinoma
Wilms tumour
Xanthogranulomatous pyelonephritis
Xp11.2 translocation carcinoma