Difference between revisions of "Quiz:Kidney tumours 3"

From Libre Pathology
Jump to navigation Jump to search
 
(11 intermediate revisions by the same user not shown)
Line 1: Line 1:
This is a little quiz to test your knowledge [[kidney tumours]]!
This is a little quiz to test your knowledge of [[kidney tumours]]!


<quiz display=simple>
<quiz display=simple>
Line 12: Line 12:
-Collecting duct carcinoma
-Collecting duct carcinoma
-Cystic nephroma/mixed epithelial stromal tumour
-Cystic nephroma/mixed epithelial stromal tumour
-Hybird tumour
-HLRCC syndrome associated RCC
-Hybrid oncocytic/chromophobe tumour
-Metastatic carcinoma
-Metastatic carcinoma
-Mucinous tubular and spindle cell carcinoma
-Mucinous tubular and spindle cell carcinoma
Line 19: Line 20:
-Renal cell carcinoma, unclassified
-Renal cell carcinoma, unclassified
-Renal medullary carcinoma
-Renal medullary carcinoma
-Succinate dehydrogenase-deficient renal cell carcinoma
-t(6;11) translocation carcinoma
-t(6;11) translocation carcinoma
-Tubulocystic renal cell carcinoma
-Tubulocystic renal cell carcinoma
Line 37: Line 39:
-Collecting duct carcinoma
-Collecting duct carcinoma
-Cystic nephroma/mixed epithelial stromal tumour
-Cystic nephroma/mixed epithelial stromal tumour
-Hybird tumour
-HLRCC syndrome associated RCC
-Hybrid oncocytic/chromophobe tumour
-Metastatic carcinoma
-Metastatic carcinoma
-Mucinous tubular and spindle cell carcinoma
-Mucinous tubular and spindle cell carcinoma
Line 44: Line 47:
-Renal cell carcinoma, unclassified
-Renal cell carcinoma, unclassified
-Renal medullary carcinoma
-Renal medullary carcinoma
-Succinate dehydrogenase-deficient renal cell carcinoma
-t(6;11) translocation carcinoma
-t(6;11) translocation carcinoma
-Tubulocystic renal cell carcinoma
-Tubulocystic renal cell carcinoma
Line 61: Line 65:
-Collecting duct carcinoma
-Collecting duct carcinoma
-Cystic nephroma/mixed epithelial stromal tumour
-Cystic nephroma/mixed epithelial stromal tumour
+Hybrid tumour
-HLRCC syndrome associated RCC
+Hybrid oncocytic/chromophobe tumour
-Metastatic carcinoma
-Metastatic carcinoma
-Mucinous tubular and spindle cell carcinoma
-Mucinous tubular and spindle cell carcinoma
Line 68: Line 73:
-Renal cell carcinoma, unclassified
-Renal cell carcinoma, unclassified
-Renal medullary carcinoma
-Renal medullary carcinoma
-Succinate dehydrogenase-deficient renal cell carcinoma
-t(6;11) translocation carcinoma
-t(6;11) translocation carcinoma
-Tubulocystic renal cell carcinoma
-Tubulocystic renal cell carcinoma
Line 75: Line 81:
-Xp11.2 translocation carcinoma
-Xp11.2 translocation carcinoma


-------------------------
{Diagnosis? <br />{{NoImageNotes|[[Image:TFEB-like renal cell carcinoma -- high mag.jpg|right|link=|400px]]}}
 
{Diagnosis? <br />{{NoImageNotes|[[Image:Renal oncocytoma -- high mag.jpg|right|link=|400px]]}}
|type="()"}
|type="()"}
-Angiomyolipoma
-Angiomyolipoma
Line 87: Line 91:
-Collecting duct carcinoma
-Collecting duct carcinoma
-Cystic nephroma/mixed epithelial stromal tumour
-Cystic nephroma/mixed epithelial stromal tumour
-Hybird tumour
-HLRCC syndrome associated RCC
-Hybrid oncocytic/chromophobe tumour
-Metastatic carcinoma
-Metastatic carcinoma
-Mucinous tubular and spindle cell carcinoma
-Mucinous tubular and spindle cell carcinoma
+Oncocytoma
-Oncocytoma
-Papillary renal cell carcinoma
-Papillary renal cell carcinoma
-Renal cell carcinoma, unclassified
-Renal cell carcinoma, unclassified
-Renal medullary carcinoma
-Renal medullary carcinoma
-t(6;11) translocation carcinoma
-Succinate dehydrogenase-deficient renal cell carcinoma
+t(6;11) translocation carcinoma
-Tubulocystic renal cell carcinoma
-Tubulocystic renal cell carcinoma
-Urothelial carcinoma
-Urothelial carcinoma
Line 101: Line 107:
-Xp11.2 translocation carcinoma
-Xp11.2 translocation carcinoma


 
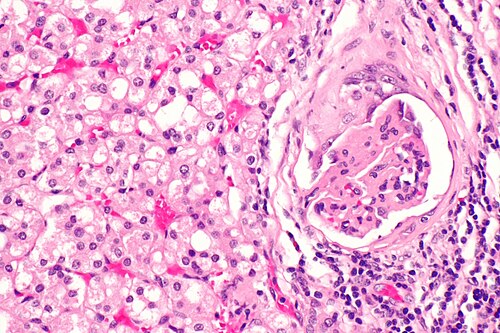
{Diagnosis? <br />{{NoImageNotes|[[Image:SDH-deficient renal cell carcinoma - high mag.jpg|right|link=|400px]]}}
{Diagnosis? <br />{{NoImageNotes|[[Image:Cystic nephroma -- low mag.jpg|right|link=|400px]]}}
|type="()"}
|type="()"}
-Angiomyolipoma
-Angiomyolipoma
Line 111: Line 116:
-Clear cell renal cell carcinoma
-Clear cell renal cell carcinoma
-Collecting duct carcinoma
-Collecting duct carcinoma
+Cystic nephroma/mixed epithelial stromal tumour
-Cystic nephroma/mixed epithelial stromal tumour
-Hybird tumour
-HLRCC syndrome associated RCC
-Hybrid oncocytic/chromophobe tumour
-Metastatic carcinoma
-Metastatic carcinoma
-Mucinous tubular and spindle cell carcinoma
-Mucinous tubular and spindle cell carcinoma
Line 119: Line 125:
-Renal cell carcinoma, unclassified
-Renal cell carcinoma, unclassified
-Renal medullary carcinoma
-Renal medullary carcinoma
+Succinate dehydrogenase-deficient renal cell carcinoma
-t(6;11) translocation carcinoma
-t(6;11) translocation carcinoma
-Tubulocystic renal cell carcinoma
-Tubulocystic renal cell carcinoma
Line 126: Line 133:
-Xp11.2 translocation carcinoma
-Xp11.2 translocation carcinoma


 
{Diagnosis? <br />{{NoImageNotes|[[Image:Unclassified renal cell carcinoma in BHD -- intermed mag.jpg|right|link=|400px]]}}
{Diagnosis? <br />{{NoImageNotes|[[Image:Chromophobe renal cell carcinoma -- intermed mag.jpg|right|link=|400px]]}}
|type="()"}
|type="()"}
-Angiomyolipoma
-Angiomyolipoma
-Benign kidney
-Benign kidney
+Chromophobe renal cell carcinoma (classic)
-Chromophobe renal cell carcinoma (classic)
-Chromophobe renal cell carcinoma (eosinophilic)
-Chromophobe renal cell carcinoma (eosinophilic)
-Clear cell papillary renal cell carcinoma
-Clear cell papillary renal cell carcinoma
Line 137: Line 143:
-Collecting duct carcinoma
-Collecting duct carcinoma
-Cystic nephroma/mixed epithelial stromal tumour
-Cystic nephroma/mixed epithelial stromal tumour
-Hybird tumour
-HLRCC syndrome associated RCC
-Hybrid oncocytic/chromophobe tumour
-Metastatic carcinoma
-Metastatic carcinoma
-Mucinous tubular and spindle cell carcinoma
-Mucinous tubular and spindle cell carcinoma
-Oncocytoma
-Oncocytoma
-Papillary renal cell carcinoma
-Papillary renal cell carcinoma
-Renal cell carcinoma, unclassified
+Renal cell carcinoma, unclassified
-Renal medullary carcinoma
-Renal medullary carcinoma
-Succinate dehydrogenase-deficient renal cell carcinoma
-t(6;11) translocation carcinoma
-t(6;11) translocation carcinoma
-Tubulocystic renal cell carcinoma
-Tubulocystic renal cell carcinoma
Line 151: Line 159:
-Xp11.2 translocation carcinoma
-Xp11.2 translocation carcinoma


 
{Diagnosis? <br />{{NoImageNotes|[[Image:Hereditary leiomyomatosis and renal cell carcinoma associated RCC -- intermed mag.jpg|right|link=|400px]]}}
{Diagnosis? <br />{{NoImageNotes|[[Image:Papillary renal cell carcinoma - 2 -- intermed mag.jpg|right|link=|400px]]}}
|type="()"}
|type="()"}
-Angiomyolipoma
-Angiomyolipoma
Line 162: Line 169:
-Collecting duct carcinoma
-Collecting duct carcinoma
-Cystic nephroma/mixed epithelial stromal tumour
-Cystic nephroma/mixed epithelial stromal tumour
-Hybird tumour
+HLRCC syndrome associated RCC
-Hybrid oncocytic/chromophobe tumour
-Metastatic carcinoma
-Metastatic carcinoma
-Mucinous tubular and spindle cell carcinoma
-Mucinous tubular and spindle cell carcinoma
-Oncocytoma
-Oncocytoma
+Papillary renal cell carcinoma
-Papillary renal cell carcinoma
-Renal cell carcinoma, unclassified
-Renal cell carcinoma, unclassified
-Renal medullary carcinoma
-Renal medullary carcinoma
-Succinate dehydrogenase-deficient renal cell carcinoma
-t(6;11) translocation carcinoma
-t(6;11) translocation carcinoma
-Tubulocystic renal cell carcinoma
-Tubulocystic renal cell carcinoma
Line 176: Line 185:
-Xp11.2 translocation carcinoma
-Xp11.2 translocation carcinoma


 
{Diagnosis? <br />{{NoImageNotes|[[Image:Xp11.2 translocation renal cell carcinoma - high mag.jpg|right|link=|400px]]}}
{Diagnosis? <br />{{NoImageNotes|[[Image:Clear cell papillary renal cell carcinoma - very high mag.jpg|right|link=|400px]]}}
|type="()"}
|type="()"}
-Angiomyolipoma
-Angiomyolipoma
Line 183: Line 191:
-Chromophobe renal cell carcinoma (classic)
-Chromophobe renal cell carcinoma (classic)
-Chromophobe renal cell carcinoma (eosinophilic)
-Chromophobe renal cell carcinoma (eosinophilic)
+Clear cell papillary renal cell carcinoma
-Clear cell papillary renal cell carcinoma
-Clear cell renal cell carcinoma
-Clear cell renal cell carcinoma
-Collecting duct carcinoma
-Collecting duct carcinoma
-Cystic nephroma/mixed epithelial stromal tumour
-Cystic nephroma/mixed epithelial stromal tumour
-Hybird tumour
-HLRCC syndrome associated RCC
-Hybrid oncocytic/chromophobe tumour
-Metastatic carcinoma
-Metastatic carcinoma
-Mucinous tubular and spindle cell carcinoma
-Mucinous tubular and spindle cell carcinoma
Line 194: Line 203:
-Renal cell carcinoma, unclassified
-Renal cell carcinoma, unclassified
-Renal medullary carcinoma
-Renal medullary carcinoma
-Succinate dehydrogenase-deficient renal cell carcinoma
-t(6;11) translocation carcinoma
-t(6;11) translocation carcinoma
-Tubulocystic renal cell carcinoma
-Tubulocystic renal cell carcinoma
Line 199: Line 209:
-Wilms tumour
-Wilms tumour
-Xanthogranulomatous pyelonephritis
-Xanthogranulomatous pyelonephritis
-Xp11.2 translocation carcinoma
+Xp11.2 translocation carcinoma


{Diagnosis? <br />{{NoImageNotes|[[Image:Eosinophilic variant of chromophobe renal cell carcinoma -- high mag.jpg|right|link=|400px]]}}
{Diagnosis? <br />{{NoImageNotes|[[Image:Unclassified renal cell carcinoma - thyroid-like with myomatous stroma -- low mag.jpg|right|link=|400px]]}}
|type="()"}
|type="()"}
-Angiomyolipoma
-Angiomyolipoma
-Benign kidney
-Benign kidney
-Chromophobe renal cell carcinoma (classic)
-Chromophobe renal cell carcinoma (classic)
+Chromophobe renal cell carcinoma (eosinophilic)
-Chromophobe renal cell carcinoma (eosinophilic)
-Clear cell papillary renal cell carcinoma
-Clear cell papillary renal cell carcinoma
-Clear cell renal cell carcinoma
-Clear cell renal cell carcinoma
-Collecting duct carcinoma
-Collecting duct carcinoma
-Cystic nephroma/mixed epithelial stromal tumour
-Cystic nephroma/mixed epithelial stromal tumour
-Hybird tumour
-HLRCC syndrome associated RCC
-Hybrid oncocytic/chromophobe tumour
-Metastatic carcinoma
-Metastatic carcinoma
-Mucinous tubular and spindle cell carcinoma
-Mucinous tubular and spindle cell carcinoma
-Oncocytoma
-Oncocytoma
-Papillary renal cell carcinoma
-Papillary renal cell carcinoma
-Renal cell carcinoma, unclassified
+Renal cell carcinoma, unclassified
-Renal medullary carcinoma
-Renal medullary carcinoma
-Succinate dehydrogenase-deficient renal cell carcinoma
-t(6;11) translocation carcinoma
-t(6;11) translocation carcinoma
-Tubulocystic renal cell carcinoma
-Tubulocystic renal cell carcinoma
Line 225: Line 237:
-Xp11.2 translocation carcinoma
-Xp11.2 translocation carcinoma


{Diagnosis? <br />{{NoImageNotes|[[Image:Renal mucinous tubular and spindle cell carcinoma -- high mag.jpg|right|link=|400px]]}}
{Diagnosis? <br />{{NoImageNotes|[[Image:Chromophobe renal cell carcinoma, eosinophilic variant - high mag.jpg|right|link=|400px]]}}
|type="()"}
|type="()"}
-Angiomyolipoma
-Angiomyolipoma
-Benign kidney
-Benign kidney
-Chromophobe renal cell carcinoma (classic)
-Chromophobe renal cell carcinoma (classic)
-Chromophobe renal cell carcinoma (eosinophilic)
+Chromophobe renal cell carcinoma (eosinophilic)
-Clear cell papillary renal cell carcinoma
-Clear cell papillary renal cell carcinoma
-Clear cell renal cell carcinoma
-Clear cell renal cell carcinoma
-Collecting duct carcinoma
-Collecting duct carcinoma
-Cystic nephroma/mixed epithelial stromal tumour
-Cystic nephroma/mixed epithelial stromal tumour
-Hybird tumour
-HLRCC syndrome associated RCC
-Hybrid oncocytic/chromophobe tumour
-Metastatic carcinoma
-Metastatic carcinoma
+Mucinous tubular and spindle cell carcinoma
-Mucinous tubular and spindle cell carcinoma
-Oncocytoma
-Oncocytoma
-Papillary renal cell carcinoma
-Papillary renal cell carcinoma
-Renal cell carcinoma, unclassified
-Renal cell carcinoma, unclassified
-Renal medullary carcinoma
-Renal medullary carcinoma
-Succinate dehydrogenase-deficient renal cell carcinoma
-t(6;11) translocation carcinoma
-t(6;11) translocation carcinoma
-Tubulocystic renal cell carcinoma
-Tubulocystic renal cell carcinoma

Latest revision as of 22:10, 11 February 2019

This is a little quiz to test your knowledge of kidney tumours!

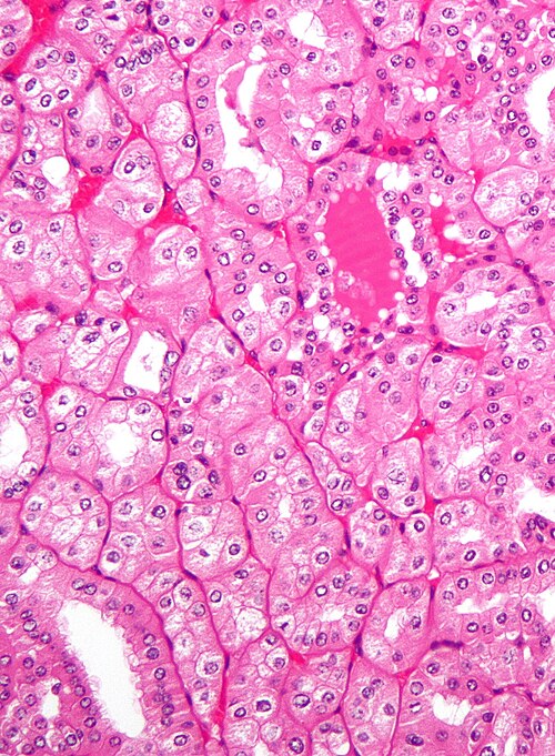
1

Diagnosis?
Clear cell renal cell carcinoma -- intermed mag.jpg

Angiomyolipoma
Benign kidney
Chromophobe renal cell carcinoma (classic)
Chromophobe renal cell carcinoma (eosinophilic)
Clear cell papillary renal cell carcinoma
Clear cell renal cell carcinoma
Collecting duct carcinoma
Cystic nephroma/mixed epithelial stromal tumour
HLRCC syndrome associated RCC
Hybrid oncocytic/chromophobe tumour
Metastatic carcinoma
Mucinous tubular and spindle cell carcinoma
Oncocytoma
Papillary renal cell carcinoma
Renal cell carcinoma, unclassified
Renal medullary carcinoma
Succinate dehydrogenase-deficient renal cell carcinoma
t(6;11) translocation carcinoma
Tubulocystic renal cell carcinoma
Urothelial carcinoma
Wilms tumour
Xanthogranulomatous pyelonephritis
Xp11.2 translocation carcinoma

2

Diagnosis?
Chromophobe renal cell carcinoma with sarcomatoid differentiation -- high mag.jpg

Angiomyolipoma
Benign kidney
Chromophobe renal cell carcinoma (classic)
Chromophobe renal cell carcinoma (eosinophilic)
Clear cell papillary renal cell carcinoma
Clear cell renal cell carcinoma
Collecting duct carcinoma
Cystic nephroma/mixed epithelial stromal tumour
HLRCC syndrome associated RCC
Hybrid oncocytic/chromophobe tumour
Metastatic carcinoma
Mucinous tubular and spindle cell carcinoma
Oncocytoma
Papillary renal cell carcinoma
Renal cell carcinoma, unclassified
Renal medullary carcinoma
Succinate dehydrogenase-deficient renal cell carcinoma
t(6;11) translocation carcinoma
Tubulocystic renal cell carcinoma
Urothelial carcinoma
Wilms tumour
Xanthogranulomatous pyelonephritis
Xp11.2 translocation carcinoma

3

Diagnosis?
Hybrid tumour of the kidney -- high mag.jpg

Angiomyolipoma
Benign kidney
Chromophobe renal cell carcinoma (classic)
Chromophobe renal cell carcinoma (eosinophilic)
Clear cell papillary renal cell carcinoma
Clear cell renal cell carcinoma
Collecting duct carcinoma
Cystic nephroma/mixed epithelial stromal tumour
HLRCC syndrome associated RCC
Hybrid oncocytic/chromophobe tumour
Metastatic carcinoma
Mucinous tubular and spindle cell carcinoma
Oncocytoma
Papillary renal cell carcinoma
Renal cell carcinoma, unclassified
Renal medullary carcinoma
Succinate dehydrogenase-deficient renal cell carcinoma
t(6;11) translocation carcinoma
Tubulocystic renal cell carcinoma
Urothelial carcinoma
Wilms tumour
Xanthogranulomatous pyelonephritis
Xp11.2 translocation carcinoma

4

Diagnosis?
TFEB-like renal cell carcinoma -- high mag.jpg

Angiomyolipoma
Benign kidney
Chromophobe renal cell carcinoma (classic)
Chromophobe renal cell carcinoma (eosinophilic)
Clear cell papillary renal cell carcinoma
Clear cell renal cell carcinoma
Collecting duct carcinoma
Cystic nephroma/mixed epithelial stromal tumour
HLRCC syndrome associated RCC
Hybrid oncocytic/chromophobe tumour
Metastatic carcinoma
Mucinous tubular and spindle cell carcinoma
Oncocytoma
Papillary renal cell carcinoma
Renal cell carcinoma, unclassified
Renal medullary carcinoma
Succinate dehydrogenase-deficient renal cell carcinoma
t(6;11) translocation carcinoma
Tubulocystic renal cell carcinoma
Urothelial carcinoma
Wilms tumour
Xanthogranulomatous pyelonephritis
Xp11.2 translocation carcinoma

5

Diagnosis?
SDH-deficient renal cell carcinoma - high mag.jpg

Angiomyolipoma
Benign kidney
Chromophobe renal cell carcinoma (classic)
Chromophobe renal cell carcinoma (eosinophilic)
Clear cell papillary renal cell carcinoma
Clear cell renal cell carcinoma
Collecting duct carcinoma
Cystic nephroma/mixed epithelial stromal tumour
HLRCC syndrome associated RCC
Hybrid oncocytic/chromophobe tumour
Metastatic carcinoma
Mucinous tubular and spindle cell carcinoma
Oncocytoma
Papillary renal cell carcinoma
Renal cell carcinoma, unclassified
Renal medullary carcinoma
Succinate dehydrogenase-deficient renal cell carcinoma
t(6;11) translocation carcinoma
Tubulocystic renal cell carcinoma
Urothelial carcinoma
Wilms tumour
Xanthogranulomatous pyelonephritis
Xp11.2 translocation carcinoma

6

Diagnosis?
Unclassified renal cell carcinoma in BHD -- intermed mag.jpg

Angiomyolipoma
Benign kidney
Chromophobe renal cell carcinoma (classic)
Chromophobe renal cell carcinoma (eosinophilic)
Clear cell papillary renal cell carcinoma
Clear cell renal cell carcinoma
Collecting duct carcinoma
Cystic nephroma/mixed epithelial stromal tumour
HLRCC syndrome associated RCC
Hybrid oncocytic/chromophobe tumour
Metastatic carcinoma
Mucinous tubular and spindle cell carcinoma
Oncocytoma
Papillary renal cell carcinoma
Renal cell carcinoma, unclassified
Renal medullary carcinoma
Succinate dehydrogenase-deficient renal cell carcinoma
t(6;11) translocation carcinoma
Tubulocystic renal cell carcinoma
Urothelial carcinoma
Wilms tumour
Xanthogranulomatous pyelonephritis
Xp11.2 translocation carcinoma

7

Diagnosis?
Hereditary leiomyomatosis and renal cell carcinoma associated RCC -- intermed mag.jpg

Angiomyolipoma
Benign kidney
Chromophobe renal cell carcinoma (classic)
Chromophobe renal cell carcinoma (eosinophilic)
Clear cell papillary renal cell carcinoma
Clear cell renal cell carcinoma
Collecting duct carcinoma
Cystic nephroma/mixed epithelial stromal tumour
HLRCC syndrome associated RCC
Hybrid oncocytic/chromophobe tumour
Metastatic carcinoma
Mucinous tubular and spindle cell carcinoma
Oncocytoma
Papillary renal cell carcinoma
Renal cell carcinoma, unclassified
Renal medullary carcinoma
Succinate dehydrogenase-deficient renal cell carcinoma
t(6;11) translocation carcinoma
Tubulocystic renal cell carcinoma
Urothelial carcinoma
Wilms tumour
Xanthogranulomatous pyelonephritis
Xp11.2 translocation carcinoma

8

Diagnosis?
Xp11.2 translocation renal cell carcinoma - high mag.jpg

Angiomyolipoma
Benign kidney
Chromophobe renal cell carcinoma (classic)
Chromophobe renal cell carcinoma (eosinophilic)
Clear cell papillary renal cell carcinoma
Clear cell renal cell carcinoma
Collecting duct carcinoma
Cystic nephroma/mixed epithelial stromal tumour
HLRCC syndrome associated RCC
Hybrid oncocytic/chromophobe tumour
Metastatic carcinoma
Mucinous tubular and spindle cell carcinoma
Oncocytoma
Papillary renal cell carcinoma
Renal cell carcinoma, unclassified
Renal medullary carcinoma
Succinate dehydrogenase-deficient renal cell carcinoma
t(6;11) translocation carcinoma
Tubulocystic renal cell carcinoma
Urothelial carcinoma
Wilms tumour
Xanthogranulomatous pyelonephritis
Xp11.2 translocation carcinoma

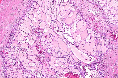
9

Diagnosis?
Unclassified renal cell carcinoma - thyroid-like with myomatous stroma -- low mag.jpg

Angiomyolipoma
Benign kidney
Chromophobe renal cell carcinoma (classic)
Chromophobe renal cell carcinoma (eosinophilic)
Clear cell papillary renal cell carcinoma
Clear cell renal cell carcinoma
Collecting duct carcinoma
Cystic nephroma/mixed epithelial stromal tumour
HLRCC syndrome associated RCC
Hybrid oncocytic/chromophobe tumour
Metastatic carcinoma
Mucinous tubular and spindle cell carcinoma
Oncocytoma
Papillary renal cell carcinoma
Renal cell carcinoma, unclassified
Renal medullary carcinoma
Succinate dehydrogenase-deficient renal cell carcinoma
t(6;11) translocation carcinoma
Tubulocystic renal cell carcinoma
Urothelial carcinoma
Wilms tumour
Xanthogranulomatous pyelonephritis
Xp11.2 translocation carcinoma

10

Diagnosis?
Chromophobe renal cell carcinoma, eosinophilic variant - high mag.jpg

Angiomyolipoma
Benign kidney
Chromophobe renal cell carcinoma (classic)
Chromophobe renal cell carcinoma (eosinophilic)
Clear cell papillary renal cell carcinoma
Clear cell renal cell carcinoma
Collecting duct carcinoma
Cystic nephroma/mixed epithelial stromal tumour
HLRCC syndrome associated RCC
Hybrid oncocytic/chromophobe tumour
Metastatic carcinoma
Mucinous tubular and spindle cell carcinoma
Oncocytoma
Papillary renal cell carcinoma
Renal cell carcinoma, unclassified
Renal medullary carcinoma
Succinate dehydrogenase-deficient renal cell carcinoma
t(6;11) translocation carcinoma
Tubulocystic renal cell carcinoma
Urothelial carcinoma
Wilms tumour
Xanthogranulomatous pyelonephritis
Xp11.2 translocation carcinoma