Quiz:Kidney tumours 3

From Libre Pathology
Revision as of 04:58, 26 December 2015 by Michael (talk | contribs)
Jump to navigation Jump to search

This is a little quiz to test your knowledge kidney tumours!

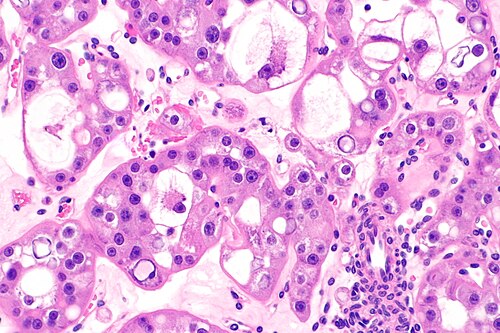
1

Diagnosis?
Clear cell renal cell carcinoma -- intermed mag.jpg

Angiomyolipoma
Benign kidney
Chromophobe renal cell carcinoma (classic)
Chromophobe renal cell carcinoma (eosinophilic)
Clear cell papillary renal cell carcinoma
Clear cell renal cell carcinoma
Collecting duct carcinoma
Cystic nephroma/mixed epithelial stromal tumour
HLRCC syndrome associated RCC
Hybrid tumour
Metastatic carcinoma
Mucinous tubular and spindle cell carcinoma
Oncocytoma
Papillary renal cell carcinoma
Renal cell carcinoma, unclassified
Renal medullary carcinoma
t(6;11) translocation carcinoma
Tubulocystic renal cell carcinoma
Urothelial carcinoma
Wilms tumour
Xanthogranulomatous pyelonephritis
Xp11.2 translocation carcinoma

2

Diagnosis?
Chromophobe renal cell carcinoma with sarcomatoid differentiation -- high mag.jpg

Angiomyolipoma
Benign kidney
Chromophobe renal cell carcinoma (classic)
Chromophobe renal cell carcinoma (eosinophilic)
Clear cell papillary renal cell carcinoma
Clear cell renal cell carcinoma
Collecting duct carcinoma
Cystic nephroma/mixed epithelial stromal tumour
HLRCC syndrome associated RCC
Hybrid tumour
Metastatic carcinoma
Mucinous tubular and spindle cell carcinoma
Oncocytoma
Papillary renal cell carcinoma
Renal cell carcinoma, unclassified
Renal medullary carcinoma
t(6;11) translocation carcinoma
Tubulocystic renal cell carcinoma
Urothelial carcinoma
Wilms tumour
Xanthogranulomatous pyelonephritis
Xp11.2 translocation carcinoma

3

Diagnosis?
Hybrid tumour of the kidney -- high mag.jpg

Angiomyolipoma
Benign kidney
Chromophobe renal cell carcinoma (classic)
Chromophobe renal cell carcinoma (eosinophilic)
Clear cell papillary renal cell carcinoma
Clear cell renal cell carcinoma
Collecting duct carcinoma
Cystic nephroma/mixed epithelial stromal tumour
HLRCC syndrome associated RCC
Hybrid tumour
Metastatic carcinoma
Mucinous tubular and spindle cell carcinoma
Oncocytoma
Papillary renal cell carcinoma
Renal cell carcinoma, unclassified
Renal medullary carcinoma
t(6;11) translocation carcinoma
Tubulocystic renal cell carcinoma
Urothelial carcinoma
Wilms tumour
Xanthogranulomatous pyelonephritis
Xp11.2 translocation carcinoma

4

Diagnosis?
TFEB-like renal cell carcinoma -- high mag.jpg

Angiomyolipoma
Benign kidney
Chromophobe renal cell carcinoma (classic)
Chromophobe renal cell carcinoma (eosinophilic)
Clear cell papillary renal cell carcinoma
Clear cell renal cell carcinoma
Collecting duct carcinoma
Cystic nephroma/mixed epithelial stromal tumour
HLRCC syndrome associated RCC
Hybrid tumour
Metastatic carcinoma
Mucinous tubular and spindle cell carcinoma
Oncocytoma
Papillary renal cell carcinoma
Renal cell carcinoma, unclassified
Renal medullary carcinoma
t(6;11) translocation carcinoma
Tubulocystic renal cell carcinoma
Urothelial carcinoma
Wilms tumour
Xanthogranulomatous pyelonephritis
Xp11.2 translocation carcinoma

5

Diagnosis?
SDH-deficient renal cell carcinoma - alt - intermed mag.jpg

Angiomyolipoma
Benign kidney
Chromophobe renal cell carcinoma (classic)
Chromophobe renal cell carcinoma (eosinophilic)
Clear cell papillary renal cell carcinoma
Clear cell renal cell carcinoma
Collecting duct carcinoma
Cystic nephroma/mixed epithelial stromal tumour
HLRCC syndrome associated RCC
Hybrid tumour
Metastatic carcinoma
Mucinous tubular and spindle cell carcinoma
Oncocytoma
Papillary renal cell carcinoma
Renal cell carcinoma, unclassified
Renal medullary carcinoma
t(6;11) translocation carcinoma
Tubulocystic renal cell carcinoma
Urothelial carcinoma
Wilms tumour
Xanthogranulomatous pyelonephritis
Xp11.2 translocation carcinoma

6

Diagnosis?
Unclassified renal cell carcinoma in BHD -- intermed mag.jpg

Angiomyolipoma
Benign kidney
Chromophobe renal cell carcinoma (classic)
Chromophobe renal cell carcinoma (eosinophilic)
Clear cell papillary renal cell carcinoma
Clear cell renal cell carcinoma
Collecting duct carcinoma
Cystic nephroma/mixed epithelial stromal tumour
HLRCC syndrome associated RCC
Hybrid tumour
Metastatic carcinoma
Mucinous tubular and spindle cell carcinoma
Oncocytoma
Papillary renal cell carcinoma
Renal cell carcinoma, unclassified
Renal medullary carcinoma
t(6;11) translocation carcinoma
Tubulocystic renal cell carcinoma
Urothelial carcinoma
Wilms tumour
Xanthogranulomatous pyelonephritis
Xp11.2 translocation carcinoma

7

Diagnosis?
Hereditary leiomyomatosis and renal cell carcinoma associated RCC -- intermed mag.jpg

Angiomyolipoma
Benign kidney
Chromophobe renal cell carcinoma (classic)
Chromophobe renal cell carcinoma (eosinophilic)
Clear cell papillary renal cell carcinoma
Clear cell renal cell carcinoma
Collecting duct carcinoma
Cystic nephroma/mixed epithelial stromal tumour
HLRCC syndrome associated RCC
Hybrid tumour
Metastatic carcinoma
Mucinous tubular and spindle cell carcinoma
Oncocytoma
Papillary renal cell carcinoma
Renal cell carcinoma, unclassified
Renal medullary carcinoma
t(6;11) translocation carcinoma
Tubulocystic renal cell carcinoma
Urothelial carcinoma
Wilms tumour
Xanthogranulomatous pyelonephritis
Xp11.2 translocation carcinoma

8

Diagnosis?
Xp11.2 translocation renal cell carcinoma - high mag.jpg

Angiomyolipoma
Benign kidney
Chromophobe renal cell carcinoma (classic)
Chromophobe renal cell carcinoma (eosinophilic)
Clear cell papillary renal cell carcinoma
Clear cell renal cell carcinoma
Collecting duct carcinoma
Cystic nephroma/mixed epithelial stromal tumour
HLRCC syndrome associated RCC
Hybrid tumour
Metastatic carcinoma
Mucinous tubular and spindle cell carcinoma
Oncocytoma
Papillary renal cell carcinoma
Renal cell carcinoma, unclassified
Renal medullary carcinoma
t(6;11) translocation carcinoma
Tubulocystic renal cell carcinoma
Urothelial carcinoma
Wilms tumour
Xanthogranulomatous pyelonephritis
Xp11.2 translocation carcinoma

9

Diagnosis?
Clear cell papillary renal cell carcinoma - very high mag.jpg

Angiomyolipoma
Benign kidney
Chromophobe renal cell carcinoma (classic)
Chromophobe renal cell carcinoma (eosinophilic)
Clear cell papillary renal cell carcinoma
Clear cell renal cell carcinoma
Collecting duct carcinoma
Cystic nephroma/mixed epithelial stromal tumour
HLRCC syndrome associated RCC
Hybrid tumour
Metastatic carcinoma
Mucinous tubular and spindle cell carcinoma
Oncocytoma
Papillary renal cell carcinoma
Renal cell carcinoma, unclassified
Renal medullary carcinoma
t(6;11) translocation carcinoma
Tubulocystic renal cell carcinoma
Urothelial carcinoma
Wilms tumour
Xanthogranulomatous pyelonephritis
Xp11.2 translocation carcinoma

10

Diagnosis?
Eosinophilic variant of chromophobe renal cell carcinoma -- high mag.jpg

Angiomyolipoma
Benign kidney
Chromophobe renal cell carcinoma (classic)
Chromophobe renal cell carcinoma (eosinophilic)
Clear cell papillary renal cell carcinoma
Clear cell renal cell carcinoma
Collecting duct carcinoma
Cystic nephroma/mixed epithelial stromal tumour
HLRCC syndrome associated RCC
Hybrid tumour
Metastatic carcinoma
Mucinous tubular and spindle cell carcinoma
Oncocytoma
Papillary renal cell carcinoma
Renal cell carcinoma, unclassified
Renal medullary carcinoma
t(6;11) translocation carcinoma
Tubulocystic renal cell carcinoma
Urothelial carcinoma
Wilms tumour
Xanthogranulomatous pyelonephritis
Xp11.2 translocation carcinoma

11

Diagnosis?
Renal mucinous tubular and spindle cell carcinoma -- high mag.jpg

Angiomyolipoma
Benign kidney
Chromophobe renal cell carcinoma (classic)
Chromophobe renal cell carcinoma (eosinophilic)
Clear cell papillary renal cell carcinoma
Clear cell renal cell carcinoma
Collecting duct carcinoma
Cystic nephroma/mixed epithelial stromal tumour
HLRCC syndrome associated RCC
Hybrid tumour
Metastatic carcinoma
Mucinous tubular and spindle cell carcinoma
Oncocytoma
Papillary renal cell carcinoma
Renal cell carcinoma, unclassified
Renal medullary carcinoma
t(6;11) translocation carcinoma
Tubulocystic renal cell carcinoma
Urothelial carcinoma
Wilms tumour
Xanthogranulomatous pyelonephritis
Xp11.2 translocation carcinoma