Clinical history
58 year old woman, cervical mass.
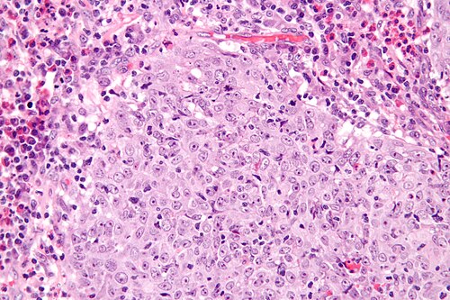
Primary image
Low magnification. H&E stain.
High magnification
|
|
High magnification. H&E stain.
|
Very high magnification
|
|
Very high magnification. H&E stain.
|
Differential diagnosis
Additional tests
More history
More history
|
|
Rapid growth of tumour.
|
Ask a friend
Ask a friend
|
|
Eosinophils. How interesting!
|
Stains
| Alcian blue/PAS to Bilirubin |
|---|
| Test | Result |
| Alcian blue/PAS | Dr T would ask why! |
| Alican blue pH 1.0 | Dr T would ask why! |
| Alcian blue pH 2.5 | Dr T would ask why! |
| Auramine | Dr T would ask why! |
| Bielchowsky | Dr T would ask why! |
| Bilirubin | Dr T would ask why! |
|
|---|
|
| Colloidal iron to Fontana-Masson |
|---|
| Test | Result |
| Colloidal iron | Dr T would ask why! |
| Congo red | Dr T would ask why! |
| Cresyl violet | Dr T would ask why! |
| Dieterle | Dr T would ask why! |
| Diff Quik | Dr T would ask why! |
| Fontana-Masson | Dr T would ask why! |
|
|---|
|
| Gallyas to Gremelius |
|---|
| Test | Result |
| Gallyas | Dr T would ask why! |
| Giemsa | Dr T would ask why! |
| GMS | Dr T would ask why! |
| Gomori's trichrome | Dr T would ask why! |
| Gram | Dr T would ask why! |
| Gremelius | Dr T would ask why! |
|
|---|
|
| JMS to Mucicarmine |
|---|
| Test | Result |
| JMS | Dr T would ask why! |
| Jones | Dr T would ask why! |
| Kinyoun | Dr T would ask why! |
| Luxol fast blue | Dr T would ask why! |
| Masson trichrome | Dr T would ask why! |
| M-MAS | Dr T would ask why! |
| Movat | Dr T would ask why! |
| Mucicarmine | Dr T would ask why! |
|
|---|
|
| Oil red O to Prussian blue |
|---|
| Test | Result |
| Oil red O | Dr T would ask why! |
| Orecein | Dr T would ask why! |
| PAS | MARKS PLASMA MEMBRANE |
| PASD | Dr T would ask why! |
| PASF | Dr T would ask why! |
| PTAH | Dr T would ask why! |
| Prussian blue | Dr T would ask why! |
|
|---|
|
| Reticulin to Ziehl-Neelsen |
|---|
| Test | Result |
| Reticulin | Dr T would ask why! |
| Sudan black B | Dr T would ask why! |
| Toluidine blue | Dr T would ask why! |
| Verhoeff | Dr T would ask why! |
| Von Kossa | Dr T would ask why! |
| Warthin-Starry | Dr T would ask why! |
| Ziehl-Neeslen | Dr T would ask why! |
|
|---|
|
IHC
| Alpha-1 AT to Cathepsin K |
|---|
| Test | Result |
| alpha-1 AT | Dr T would ask why! |
| ACTH | Dr T would ask why! |
| AE1/AE1 | Dr T would ask why! |
| alpha-fetoprotein | Dr T would ask why! |
| Alk-I | Dr T would ask why! |
| AMACR | Dr T would ask why! |
| AR | Dr T would ask why! |
| ATRX | Dr T would ask why! |
| Beta2-microglobulin | Dr T would ask why! |
| B72.3 | Dr T would ask why! |
| Beta-catenin | Dr T would ask why! |
| BCL2 | Dr T would ask why! |
| BCL6 | Dr T would ask why! |
| BCLxL | Dr T would ask why! |
| C3 comp | Dr T would ask why! |
| CA9 | Dr T would ask why! |
| Calcitonin | Dr T would ask why! |
| Calponin | Dr T would ask why! |
| Calretinin | Dr T would ask why! |
| CAM5.2 | Dr T would ask why! |
| Cathepsin K | Dr T would ask why! |
|
|---|
|
| CD10 to Chromogranin |
|---|
| Test | Result |
| CD10 | Dr T would ask why! |
| CD117 | Dr T would ask why! |
| CD138 | Dr T would ask why! |
| CD15 | Dr T would ask why! |
| CD1a | Dr T would ask why! |
| CD20 | Dr T would ask why! |
| CD21 | Dr T would ask why! |
| CD23 | Dr T would ask why! |
| CD3 | Dr T would ask why! |
| CD30 | Dr T would ask why! |
| CD31 | Dr T would ask why! |
| CD34 | Dr T would ask why! |
| CD35 | Dr T would ask why! |
| CD4 | Dr T would ask why! |
| CD43 | Dr T would ask why! |
| CD45 (LCA) | Dr T would ask why! |
| CD5 | Dr T would ask why! |
| CD56 | Dr T would ask why! |
| CD57 | Dr T would ask why! |
| CD68 | Dr T would ask why! |
| CD7 | Dr T would ask why! |
| CD79a | Dr T would ask why! |
| CD8 | Dr T would ask why! |
| CD99 | Dr T would ask why! |
| CDX2 | Dr T would ask why! |
| CEA-m | Dr T would ask why! |
| Chromogranin | Dr T would ask why! |
|
|---|
|
| CK17 to Glypican 3 |
|---|
| Test | Result |
| CK17 | Dr T would ask why! |
| CK19 | Dr T would ask why! |
| CK20 | Dr T would ask why! |
| CK34betaE12 | Dr T would ask why! |
| CK5/6 | Dr T would ask why! |
| CK7 | Dr T would ask why! |
| CMV | Dr T would ask why! |
| c-MYC | Dr T would ask why! |
| Cyclin D1 | Dr T would ask why! |
| D2-40 | Dr T would ask why! |
| Desmin | Dr T would ask why! |
| DOG1 | Dr T would ask why! |
| EBV | Dr T would ask why! |
| EMA | Dr T would ask why! |
| ER and PR | Dr T would ask why! |
| Factor VIII | Dr T would ask why! |
| Factor XIIIa | Dr T would ask why! |
| Fascin | Dr T would ask why! |
| FH | Dr T would ask why! |
| FSH | Dr T would ask why! |
| Gastrin | Dr T would ask why! |
| GATA3 | Dr T would ask why! |
| GCDFP-15 (BRST2) | Dr T would ask why! |
| GFAP | Dr T would ask why! |
| GH | Dr T would ask why! |
| Glucagon | Dr T would ask why! |
| Glypican-3 | Dr T would ask why! |
|
|---|
|
| HBME-1 to IgM |
|---|
| Test | Result |
| HBME-1 | Dr T would ask why! |
| HBV core | Dr T would ask why! |
| HBV surface | Dr T would ask why! |
| H-caldesmon | Dr T would ask why! |
| HCG | Dr T would ask why! |
| Helicobacter | Dr T would ask why! |
| Hepatocyte | Dr T would ask why! |
| HER2/neu | Dr T would ask why! |
| HHV-8 | Dr T would ask why! |
| HMB-45 | Dr T would ask why! |
| HNF1beta | Dr T would ask why! |
| HPV | Dr T would ask why! |
| HSV-I | Dr T would ask why! |
| HSV-II | Dr T would ask why! |
| IDH-1 | Dr T would ask why! |
| Inhibin | Dr T would ask why! |
| INI1 (BAF47) | Dr T would ask why! |
| Insulin | Dr T would ask why! |
| Kappa | Dr T would ask why! |
| Ki-67 | Dr T would ask why! |
| Lambda | Dr T would ask why! |
| Leu 7 | Dr T would ask why! |
| IgA | Dr T would ask why! |
| IgG | Dr T would ask why! |
| IgM | Dr T would ask why! |
|
|---|
|
| LH to PDGFR |
|---|
| Test | Result |
| LH | Dr T would ask why! |
| LIN28 | Dr T would ask why! |
| Lysozyme | Dr T would ask why! |
| mammoglobin | Dr T would ask why! |
| MAP2 | Dr T would ask why! |
| MCV | Dr T would ask why! |
| Melanin A | Dr T would ask why! |
| MHC class I | Dr T would ask why! |
| MITF | Dr T would ask why! |
| MUM1 | Dr T would ask why! |
| Myeloperoxidase | Dr T would ask why! |
| MYO D1 | Dr T would ask why! |
| Myoglobin | Dr T would ask why! |
| Napsin | Dr T would ask why! |
| NF | Dr T would ask why! |
| NKX3.1 | Dr T would ask why! |
| NSE | Dr T would ask why! |
| OCT3/4 | Dr T would ask why! |
| p16 | Dr T would ask why! |
| P501S | Dr T would ask why! |
| p53 | Dr T would ask why! |
| p57 | Dr T would ask why! |
| p63 | Dr T would ask why! |
| Pankeratin | Dr T would ask why! |
| PAX2 | Dr T would ask why! |
| PAX5 | Dr T would ask why! |
| PAX8 | Dr T would ask why! |
| PCNA | Dr T would ask why! |
| PDGFR | Dr T would ask why! |
|
|---|
|
| PLAP to WT1 |
|---|
| Test | Result |
| PLAP | Dr T would ask why! |
| PNL-2C | Dr T would ask why! |
| Prolactin | Dr T would ask why! |
| PSA | Dr T would ask why! |
| PSAP | Dr T would ask why! |
| RCC | Dr T would ask why! |
| S-100 | Dr T would ask why! |
| SALL4 | Dr T would ask why! |
| Smooth muscle actin | Dr T would ask why! |
| Somatostatin | Dr T would ask why! |
| STAT6 | Dr T would ask why! |
| Synaptophysin | Dr T would ask why! |
| TdT | Dr T would ask why! |
| TFE3 | Dr T would ask why! |
| TFEB | Dr T would ask why! |
| Thyroglobulin | Dr T would ask why! |
| Toxoplasma | Dr T would ask why! |
| TSH | Dr T would ask why! |
| TTF-1 | Dr T would ask why! |
| Ubiquitin | Dr T would ask why! |
| UCHL1 (PGP9.5) | Dr T would ask why! |
| Ulex Europaeus | Dr T would ask why! |
| Vimentin | Dr T would ask why! |
| VIP | Dr T would ask why! |
| VZV | Dr T would ask why! |
| WT-1 | Dr T would ask why! |
|
|---|
|
Diagnosis
Other cases
|
|---|
| | Number | |
|---|
| Subspecialty (Difficulty) |
Autopsy pathology (jr,sr, f/e)
Breast pathology (jr,sr, f/e)
Cardiovascular pathology (jr,sr, f/e)
Cytopathology (jr,sr, f/e)
Dermatopathology (jr,sr, f/e)
Endocrine pathology (jr,sr, f/e)
Forensic pathology (jr,sr, f/e)
Gastrointestinal pathology (jr,sr, f/e)
Genitourinary pathology (jr,sr, f/e)
Gynecologic pathology (jr,sr, f/e)
Hematopathology (jr,sr, f/e)
Head and neck pathology (jr,sr, f/e)
Lymph node pathology (jr,sr, f/e)
Medical kidney pathology (jr,sr, f/e)
Molecular pathology (jr,sr, f/e)
Neuropathology (jr,sr, f/e)
Pediatric pathology (jr,sr, f/e)
Pulmonary pathology (jr,sr, f/e)
Placental pathology (jr,sr, f/e)
Soft tissue pathology (jr,sr, f/e) |
|---|
| | Difficulty | |
|---|
|