Case 88

From Libre Pathology
Jump to navigation Jump to search

Provided clinical history

51 year old woman

Site

Right kidney

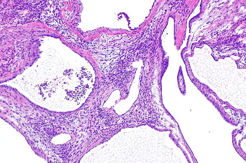
Primary image

Cystic nephroma -- low mag.jpg
Low magnification. H&E stain.
Intermediate magnification 
Cystic nephroma -- intermed mag.jpg
Intermediate magnification. H&E stain.
High magnification 
Cystic nephroma -- high mag.jpg
High magnification. H&E stain.

Differential diagnosis

Differential diagnosis 
mixed epithelial stromal tumour, cystic renal cell carcinoma, benign cysts

Additional tests

More history

More history 
cystic mass, incidental finding - while patient being workup for colon cancer

Ask a colleague

Ask a colleague 
Makes me think of ovary for some reason. Looks benign.

Stains

Alcian blue/PAS to Bilirubin
Test Result
Alcian blue/PASDr Torres would ask why!
Alican blue pH 1.0Dr Torres would ask why!
Alcian blue pH 2.5Dr Torres would ask why!
AuramineDr Torres would ask why!
BielchowskyDr Torres would ask why!
BilirubinDr Torres would ask why!
Colloidal iron to Fontana-Masson
Test Result
Colloidal ironDr Torres would ask why!
Congo redDr Torres would ask why!
Cresyl violetDr Torres would ask why!
DieterleDr Torres would ask why!
Diff QuikDr Torres would ask why!
Fontana-MassonDr Torres would ask why!
Gallyas to Gremelius
Test Result
GallyasDr Torres would ask why!
GiemsaDr Torres would ask why!
GMSDr Torres would ask why!
Gomori's trichromeDr Torres would ask why!
GramDr Torres would ask why!
GremeliusDr Torres would ask why!
JMS to Mucicarmine
Test Result
JMSDr Torres would ask why!
JonesDr Torres would ask why!
KinyounDr Torres would ask why!
Luxol fast blueDr Torres would ask why!
Masson trichromeDr Torres would ask why!
M-MASDr Torres would ask why!
MovatDr Torres would ask why!
MucicarmineDr Torres would ask why!
Oil red O to Prussian blue
Test Result
Oil red ODr Torres would ask why!
OreceinDr Torres would ask why!
PASDr Torres would ask why!
PASDDr Torres would ask why!
PASFDr Torres would ask why!
PTAHDr Torres would ask why!
Prussian blueDr Torres would ask why!
Reticulin to Ziehl-Neelsen
Test Result
ReticulinDr Torres would ask why!
Sudan black BDr Torres would ask why!
Toluidine blueDr Torres would ask why!
VerhoeffDr Torres would ask why!
Von KossaDr Torres would ask why!
Warthin-StarryDr Torres would ask why!
Ziehl-NeeslenDr Torres would ask why!

IHC

Alpha-1 AT to Cathepsin K
Test Result
alpha-1 AT Dr Torres would ask why!
ACTH Dr Torres would ask why!
AE1/AE1Dr Torres would ask why!
alpha-fetoprotein Dr Torres would ask why!
Alk-I Dr Torres would ask why!
AMACRDr Torres would ask why!
ARDr Torres would ask why!
ATRXDr Torres would ask why!
Beta2-microglobulin Dr Torres would ask why!
B72.3 Dr Torres would ask why!
Beta-cateninDr Torres would ask why!
BCL2 Dr Torres would ask why!
BCL6 Dr Torres would ask why!
BCLxL Dr Torres would ask why!
C3 comp Dr Torres would ask why!
CA9Dr Torres would ask why!
Calcitonin Dr Torres would ask why!
Calponin Dr Torres would ask why!
Calretinin Dr Torres would ask why!
CAM5.2Dr Torres would ask why!
Cathepsin KDr Torres would ask why!
CD10 to Chromogranin
Test Result
CD10 POSITIVE
CD117 Dr Torres would ask why!
CD138Dr Torres would ask why!
CD15 Dr Torres would ask why!
CD1a Dr Torres would ask why!
CD20 Dr Torres would ask why!
CD21 Dr Torres would ask why!
CD23 Dr Torres would ask why!
CD3 Dr Torres would ask why!
CD30 Dr Torres would ask why!
CD31 Dr Torres would ask why!
CD34 Dr Torres would ask why!
CD35 Dr Torres would ask why!
CD4 Dr Torres would ask why!
CD43 Dr Torres would ask why!
CD45 (LCA)Dr Torres would ask why!
CD5 Dr Torres would ask why!
CD56 Dr Torres would ask why!
CD57Dr Torres would ask why!
CD68 Dr Torres would ask why!
CD7 Dr Torres would ask why!
CD79a Dr Torres would ask why!
CD8 Dr Torres would ask why!
CD99 Dr Torres would ask why!
CDX2Dr Torres would ask why!
CEA-m Dr Torres would ask why!
Chromogranin Dr Torres would ask why!
CK17 to Glypican 3
Test Result
CK17Dr Torres would ask why!
CK19Dr Torres would ask why!
CK20 Dr Torres would ask why!
CK34betaE12 Dr Torres would ask why!
CK5/6Dr Torres would ask why!
CK7 Dr Torres would ask why!
CMV Dr Torres would ask why!
c-MYC Dr Torres would ask why!
Cyclin D1 Dr Torres would ask why!
D2-40Dr Torres would ask why!
Desmin Dr Torres would ask why!
DOG1Dr Torres would ask why!
EBV Dr Torres would ask why!
EMADr Torres would ask why!
ER and PR ER POSITIVE, PR POSITIVE
Factor VIII Dr Torres would ask why!
Factor XIIIa Dr Torres would ask why!
Fascin Dr Torres would ask why!
FHDr Torres would ask why!
FSH Dr Torres would ask why!
Gastrin Dr Torres would ask why!
GATA3Dr Torres would ask why!
GCDFP-15 (BRST2)Dr Torres would ask why!
GFAPDr Torres would ask why!
GH Dr Torres would ask why!
Glucagon Dr Torres would ask why!
Glypican-3Dr Torres would ask why!
HBME-1 to IgM
Test Result
HBME-1 Dr Torres would ask why!
HBV core Dr Torres would ask why!
HBV surface Dr Torres would ask why!
H-caldesmonDr Torres would ask why!
HCG Dr Torres would ask why!
HelicobacterDr Torres would ask why!
Hepatocyte Dr Torres would ask why!
HER2/neu Dr Torres would ask why!
HHV-8Dr Torres would ask why!
HMB-45Dr Torres would ask why!
HNF1betaDr Torres would ask why!
HPV Dr Torres would ask why!
HSV-I Dr Torres would ask why!
HSV-II Dr Torres would ask why!
IDH-1Dr Torres would ask why!
Inhibin Dr Torres would ask why!
INI1 (BAF47)Dr Torres would ask why!
Insulin Dr Torres would ask why!
Kappa Dr Torres would ask why!
Ki-67 Dr Torres would ask why!
Lambda Dr Torres would ask why!
Leu 7 Dr Torres would ask why!
IgA Dr Torres would ask why!
IgG Dr Torres would ask why!
IgM Dr Torres would ask why!
LH to PDGFR
Test Result
LH Dr Torres would ask why!
LIN28 Dr Torres would ask why!
Lysozyme Dr Torres would ask why!
mammoglobinDr Torres would ask why!
MAP2Dr Torres would ask why!
MCVDr Torres would ask why!
Melanin A Dr Torres would ask why!
MHC class I Dr Torres would ask why!
MITFDr Torres would ask why!
MUM1Dr Torres would ask why!
Myeloperoxidase Dr Torres would ask why!
MYO D1 Dr Torres would ask why!
MyoglobinDr Torres would ask why!
NapsinDr Torres would ask why!
NFDr Torres would ask why!
NKX3.1Dr Torres would ask why!
NSE Dr Torres would ask why!
OCT3/4Dr Torres would ask why!
p16Dr Torres would ask why!
P501SDr Torres would ask why!
p53 Dr Torres would ask why!
p57Dr Torres would ask why!
p63 Dr Torres would ask why!
PankeratinDr Torres would ask why!
PAX2Dr Torres would ask why!
PAX5Dr Torres would ask why!
PAX8Dr Torres would ask why!
PCNA Dr Torres would ask why!
PDGFRDr Torres would ask why!
PLAP to WT1
Test Result
PLAP Dr Torres would ask why!
PNL-2C Dr Torres would ask why!
Prolactin Dr Torres would ask why!
PSA Dr Torres would ask why!
PSAPDr Torres would ask why!
RCCDr Torres would ask why!
S-100Dr Torres would ask why!
SALL4Dr Torres would ask why!
Smooth muscle actin Dr Torres would ask why!
Somatostatin Dr Torres would ask why!
STAT6 Dr Torres would ask why!
Synaptophysin Dr Torres would ask why!
TdT Dr Torres would ask why!
TFE3Dr Torres would ask why!
TFEBDr Torres would ask why!
Thyroglobulin Dr Torres would ask why!
Toxoplasma Dr Torres would ask why!
TSH Dr Torres would ask why!
TTF-1 Dr Torres would ask why!
Ubiquitin Dr Torres would ask why!
UCHL1 (PGP9.5)Dr Torres would ask why!
Ulex Europaeus Dr Torres would ask why!
VimentinDr Torres would ask why!
VIP Dr Torres would ask why!
VZV Dr Torres would ask why!
WT-1Dr Torres would ask why!


Molecular testing

Chromosomal translocations
Translocations Chr 1-10
Test Result
t(1;13) PAX7-FKHR Dr Torres would ask why!
t(2,13) PAX3-FKHR Dr Torres would ask why!
t(8;14) MYC-IGHDr Torres would ask why!
t(9;22) BCR-ABL Dr Torres would ask why!
t(9;22) CHN-EWS Dr Torres would ask why!
Translocations Chr 11-13
Test Result
t(11;14) CCND1-IGH Dr Torres would ask why!
t(11;22) EWS-WT1 Dr Torres would ask why!
t(11;22) FLI1-EWS Dr Torres would ask why!
t(12;15) ETV6-NTRK3 Dr Torres would ask why!
t(12;16) FUS-ATF1 Dr Torres would ask why!
t(12;16) CHOP-TLS Dr Torres would ask why!
t(12;22) EWS-ATF1 Dr Torres would ask why!
Translocations Chr 14-22
Test Result
t(14,18) IGH-BCL2 Dr Torres would ask why!
t(15;17) PML-RARA Dr Torres would ask why!
t(16;21) FUS-ERG Dr Torres would ask why!
t(17;22) COLA1-PDGFB Dr Torres would ask why!
t(21;22) EWS-ERG Dr Torres would ask why!
Translocations Chr X & Y
Test Result
t(X;1) PRCC-TFE3Dr Torres would ask why!
t(X;17) TFE3-ASPL Dr Torres would ask why!
t(X;18) SYT-SSX Dr Torres would ask why!
Other molecular tests
Molecular tests (A-B)
Test Result
ALK sequencingDr Torres would ask why!
B cell clonality Southern / PCR Dr Torres would ask why!
BCL2 PCR Dr Torres would ask why!
BRAF sequencingDr Torres would ask why!
Molecular tests (C-H)
Test Result
EBV PCR Dr Torres would ask why!
EGRF sequencingDr Torres would ask why!
H3F3A sequencingDr Torres would ask why!
HHV-8 PCR Dr Torres would ask why!
Molecular tests (I-J)
Test Result
Identity testing PCR Dr Torres would ask why!
IDH1/2 PCR Dr Torres would ask why!
JAK2 V617F ARMS Dr Torres would ask why!
Molecular tests (K-Z)
Test Result
KIT sequencing Dr Torres would ask why!
LOH 1p/19q PCR Dr Torres would ask why!
T cell clonality Southern / PCR Dr Torres would ask why!


Diagnosis

Diagnosis 
CYSTIC NEPHROMA / MIXED EPITHELIAL STROMAL TUMOUR

Comment:
Cystic nephroma and mixed epithelial stromal tumour were described as separate entities. The WHO classification of renal neoplasia (known as the Vancouver classification) lumps them together.[1]

Cystic nephroma/mixed epithelial stromal tumour is a rather awkward name. One cheeky article suggests the term renal epithelial and stromal tumour (abbreviated REST) to put the issue to rest.[2]

References

  1. Srigley, JR.; Delahunt, B.; Eble, JN.; Egevad, L.; Epstein, JI.; Grignon, D.; Hes, O.; Moch, H. et al. (Oct 2013). "The International Society of Urological Pathology (ISUP) Vancouver Classification of Renal Neoplasia.". Am J Surg Pathol 37 (10): 1469-89. doi:10.1097/PAS.0b013e318299f2d1. PMID 24025519.
  2. Turbiner, J.; Amin, MB.; Humphrey, PA.; Srigley, JR.; De Leval, L.; Radhakrishnan, A.; Oliva, E. (Apr 2007). "Cystic nephroma and mixed epithelial and stromal tumor of kidney: a detailed clinicopathologic analysis of 34 cases and proposal for renal epithelial and stromal tumor (REST) as a unifying term.". Am J Surg Pathol 31 (4): 489-500. doi:10.1097/PAS.0b013e31802bdd56. PMID 17414095.


Other cases