Clinical history
49 year old woman. Sudden hearing loss of the left side.
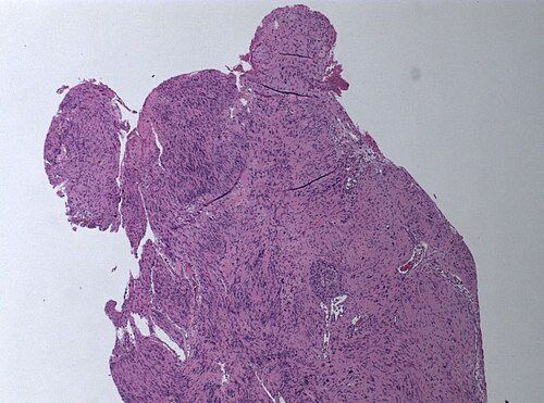
Primary image
Cerebellopontine angle. Low magnification. H&E stain.
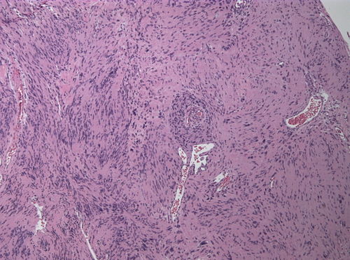
Intermediate magnification
|
|
Intermediate magnification. H&E stain.
|
High magnification
|
|
High magnification. H&E stain.
|
Differential diagnosis
Differential diagnosis
|
|
meningioma, malignant peripheral nerve sheath tumor
|
Additional tests
More history
More history
|
|
There is dizziness/loss of balance.
|
Ask a friend
Ask a friend
|
|
It looks like a benign nerve sheath tumor.
|
Stains
| Alcian blue/PAS to Bilirubin |
|---|
| Test | Result |
| Alcian blue/PAS | I'm sorry but this is of no help. |
| Alican blue pH 1.0 | I'm sorry but this is of no help. |
| Alcian blue pH 2.5 | I'm sorry but this is of no help. |
| Auramine | I'm sorry but this is of no help. |
| Bielchowsky | I'm sorry but this is of no help. |
| Bilirubin | I'm sorry but this is of no help. |
|
|---|
|
| Colloidal iron to Fontana-Masson |
|---|
| Test | Result |
| Colloidal iron | I'm sorry but this is of no help. |
| Congo red | I'm sorry but this is of no help. |
| Cresyl violet | I'm sorry but this is of no help. |
| Dieterle | I'm sorry but this is of no help. |
| Diff Quik | I'm sorry but this is of no help. |
| Fontana-Masson | I'm sorry but this is of no help. |
|
|---|
|
| Gallyas to Gremelius |
|---|
| Test | Result |
| Gallyas | I'm sorry but this is of no help. |
| Giemsa | I'm sorry but this is of no help. |
| GMS | I'm sorry but this is of no help. |
| Gomori's trichrome | I'm sorry but this is of no help. |
| Gram | I'm sorry but this is of no help. |
| Gremelius | I'm sorry but this is of no help. |
|
|---|
|
| JMS to Mucicarmine |
|---|
| Test | Result |
| JMS | I'm sorry but this is of no help. |
| Jones | I'm sorry but this is of no help. |
| Kinyoun | I'm sorry but this is of no help. |
| Luxol fast blue | I'm sorry but this is of no help. |
| Masson trichrome | I'm sorry but this is of no help. |
| M-MAS | I'm sorry but this is of no help. |
| Movat | I'm sorry but this is of no help. |
| Mucicarmine | I'm sorry but this is of no help. |
|
|---|
|
| Oil red O to Prussian blue |
|---|
| Test | Result |
| Oil red O | I'm sorry but this is of no help. |
| Orecein | I'm sorry but this is of no help. |
| PAS | I'm sorry but this is of no help. |
| PASD | I'm sorry but this is of no help. |
| PASF | I'm sorry but this is of no help. |
| PTAH | I'm sorry but this is of no help. |
| Prussian blue | I'm sorry but this is of no help. |
|
|---|
|
| Reticulin to Ziehl-Neelsen |
|---|
| Test | Result |
| Reticulin | |
| Sudan black B | I'm sorry but this is of no help. |
| Toluidine blue | I'm sorry but this is of no help. |
| Verhoeff | I'm sorry but this is of no help. |
| Von Kossa | I'm sorry but this is of no help. |
| Warthin-Starry | I'm sorry but this is of no help. |
| Ziehl-Neeslen | I'm sorry but this is of no help. |
|
|---|
|
IHC
| Alpha-1 AT to Cathepsin K |
|---|
| Test | Result |
| alpha-1 AT | I'm sorry but this is of no help. |
| ACTH | I'm sorry but this is of no help. |
| AE1/AE1 | NEGATIVE |
| alpha-fetoprotein | I'm sorry but this is of no help. |
| Alk-I | I'm sorry but this is of no help. |
| AMACR | I'm sorry but this is of no help. |
| AR | I'm sorry but this is of no help. |
| ATRX | I'm sorry but this is of no help. |
| Beta2-microglobulin | I'm sorry but this is of no help. |
| B72.3 | I'm sorry but this is of no help. |
| Beta-catenin | I'm sorry but this is of no help. |
| BCL2 | I'm sorry but this is of no help. |
| BCL6 | I'm sorry but this is of no help. |
| BCLxL | I'm sorry but this is of no help. |
| C3 comp | I'm sorry but this is of no help. |
| CA9 | I'm sorry but this is of no help. |
| Calcitonin | I'm sorry but this is of no help. |
| Calponin | I'm sorry but this is of no help. |
| Calretinin | NEGATIVE |
| CAM5.2 | I'm sorry but this is of no help. |
| Cathepsin K | I'm sorry but this is of no help. |
|
|---|
|
| CD10 to Chromogranin |
|---|
| Test | Result |
| CD10 | I'm sorry but this is of no help. |
| CD117 | I'm sorry but this is of no help. |
| CD138 | I'm sorry but this is of no help. |
| CD15 | I'm sorry but this is of no help. |
| CD1a | I'm sorry but this is of no help. |
| CD20 | I'm sorry but this is of no help. |
| CD21 | I'm sorry but this is of no help. |
| CD23 | I'm sorry but this is of no help. |
| CD3 | I'm sorry but this is of no help. |
| CD30 | I'm sorry but this is of no help. |
| CD31 | I'm sorry but this is of no help. |
| CD34 | NEGATIVE |
| CD35 | I'm sorry but this is of no help. |
| CD4 | I'm sorry but this is of no help. |
| CD43 | I'm sorry but this is of no help. |
| CD45 (LCA) | very few cells positive |
| CD5 | I'm sorry but this is of no help. |
| CD56 | I'm sorry but this is of no help. |
| CD57 | I'm sorry but this is of no help. |
| CD68 | I'm sorry but this is of no help. |
| CD7 | I'm sorry but this is of no help. |
| CD79a | I'm sorry but this is of no help. |
| CD8 | I'm sorry but this is of no help. |
| CD99 | I'm sorry but this is of no help. |
| CDX2 | I'm sorry but this is of no help. |
| CEA-m | I'm sorry but this is of no help. |
| Chromogranin | I'm sorry but this is of no help. |
|
|---|
|
| CK17 to Glypican 3 |
|---|
| Test | Result |
| CK17 | I'm sorry but this is of no help. |
| CK19 | I'm sorry but this is of no help. |
| CK20 | I'm sorry but this is of no help. |
| CK34betaE12 | I'm sorry but this is of no help. |
| CK5/6 | I'm sorry but this is of no help. |
| CK7 | I'm sorry but this is of no help. |
| CMV | I'm sorry but this is of no help. |
| c-MYC | I'm sorry but this is of no help. |
| Cyclin D1 | I'm sorry but this is of no help. |
| D2-40 | I'm sorry but this is of no help. |
| Desmin | I'm sorry but this is of no help. |
| DOG1 | I'm sorry but this is of no help. |
| EBV | I'm sorry but this is of no help. |
| EMA | NEGATIVE |
| ER and PR | I'm sorry but this is of no help. |
| Factor VIII | I'm sorry but this is of no help. |
| Factor XIIIa | I'm sorry but this is of no help. |
| Fascin | I'm sorry but this is of no help. |
| FH | I'm sorry but this is of no help. |
| FSH | I'm sorry but this is of no help. |
| Gastrin | I'm sorry but this is of no help. |
| GATA3 | I'm sorry but this is of no help. |
| GCDFP-15 (BRST2) | I'm sorry but this is of no help. |
| GFAP | I'm sorry but this is of no help. |
| GH | I'm sorry but this is of no help. |
| Glucagon | I'm sorry but this is of no help. |
| Glypican-3 | I'm sorry but this is of no help. |
|
|---|
|
| HBME-1 to IgM |
|---|
| Test | Result |
| HBME-1 | I'm sorry but this is of no help. |
| HBV core | I'm sorry but this is of no help. |
| HBV surface | I'm sorry but this is of no help. |
| H-caldesmon | I'm sorry but this is of no help. |
| HCG | I'm sorry but this is of no help. |
| Helicobacter | I'm sorry but this is of no help. |
| Hepatocyte | I'm sorry but this is of no help. |
| HER2/neu | I'm sorry but this is of no help. |
| HHV-8 | I'm sorry but this is of no help. |
| HMB-45 | I'm sorry but this is of no help. |
| HNF1beta | I'm sorry but this is of no help. |
| HPV | I'm sorry but this is of no help. |
| HSV-I | I'm sorry but this is of no help. |
| HSV-II | I'm sorry but this is of no help. |
| IDH-1 | I'm sorry but this is of no help. |
| Inhibin | I'm sorry but this is of no help. |
| INI1 (BAF47) | I'm sorry but this is of no help. |
| Insulin | I'm sorry but this is of no help. |
| Kappa | I'm sorry but this is of no help. |
| Ki-67 | |
| Lambda | I'm sorry but this is of no help. |
| Leu 7 | I'm sorry but this is of no help. |
| IgA | I'm sorry but this is of no help. |
| IgG | I'm sorry but this is of no help. |
| IgM | I'm sorry but this is of no help. |
|
|---|
|
| LH to PDGFR |
|---|
| Test | Result |
| LH | I'm sorry but this is of no help. |
| LIN28 | I'm sorry but this is of no help. |
| Lysozyme | I'm sorry but this is of no help. |
| mammoglobin | I'm sorry but this is of no help. |
| MAP2 | I'm sorry but this is of no help. |
| MCV | I'm sorry but this is of no help. |
| Melanin A | I'm sorry but this is of no help. |
| MHC class I | I'm sorry but this is of no help. |
| MITF | I'm sorry but this is of no help. |
| MUM1 | I'm sorry but this is of no help. |
| Myeloperoxidase | I'm sorry but this is of no help. |
| MYO D1 | I'm sorry but this is of no help. |
| Myoglobin | I'm sorry but this is of no help. |
| Napsin | I'm sorry but this is of no help. |
| NF | |
| NKX3.1 | I'm sorry but this is of no help. |
| NSE | I'm sorry but this is of no help. |
| OCT3/4 | I'm sorry but this is of no help. |
| p16 | I'm sorry but this is of no help. |
| P501S | I'm sorry but this is of no help. |
| p53 | I'm sorry but this is of no help. |
| p57 | I'm sorry but this is of no help. |
| p63 | I'm sorry but this is of no help. |
| Pankeratin | I'm sorry but this is of no help. |
| PAX2 | I'm sorry but this is of no help. |
| PAX5 | I'm sorry but this is of no help. |
| PAX8 | I'm sorry but this is of no help. |
| PCNA | I'm sorry but this is of no help. |
| PDGFR | I'm sorry but this is of no help. |
|
|---|
|
| PLAP to WT1 |
|---|
| Test | Result |
| PLAP | I'm sorry but this is of no help. |
| PNL-2C | I'm sorry but this is of no help. |
| Prolactin | I'm sorry but this is of no help. |
| PSA | I'm sorry but this is of no help. |
| PSAP | I'm sorry but this is of no help. |
| RCC | I'm sorry but this is of no help. |
| S-100 | |
| SALL4 | I'm sorry but this is of no help. |
| Smooth muscle actin | I'm sorry but this is of no help. |
| Somatostatin | I'm sorry but this is of no help. |
| STAT6 | I'm sorry but this is of no help. |
| Synaptophysin | I'm sorry but this is of no help. |
| TdT | I'm sorry but this is of no help. |
| TFE3 | I'm sorry but this is of no help. |
| TFEB | I'm sorry but this is of no help. |
| Thyroglobulin | I'm sorry but this is of no help. |
| Toxoplasma | I'm sorry but this is of no help. |
| TSH | I'm sorry but this is of no help. |
| TTF-1 | I'm sorry but this is of no help. |
| Ubiquitin | I'm sorry but this is of no help. |
| UCHL1 (PGP9.5) | I'm sorry but this is of no help. |
| Ulex Europaeus | I'm sorry but this is of no help. |
| Vimentin | I'm sorry but this is of no help. |
| VIP | I'm sorry but this is of no help. |
| VZV | I'm sorry but this is of no help. |
| WT-1 | I'm sorry but this is of no help. |
|
|---|
|
Diagnosis
Diagnosis
|
|
Schwannoma, WHO grade I.
Comment: This is the most frequent tumor of the cerebellopontine angle. Positive S-100 Immunostain and reticulin around individual tumor cells confirm the diagnosis and rule out a potential meningioma.
|
Other cases
|
|---|
| | Number | |
|---|
| Subspecialty (Difficulty) |
Autopsy pathology (jr,sr, f/e)
Breast pathology (jr,sr, f/e)
Cardiovascular pathology (jr,sr, f/e)
Cytopathology (jr,sr, f/e)
Dermatopathology (jr,sr, f/e)
Endocrine pathology (jr,sr, f/e)
Forensic pathology (jr,sr, f/e)
Gastrointestinal pathology (jr,sr, f/e)
Genitourinary pathology (jr,sr, f/e)
Gynecologic pathology (jr,sr, f/e)
Hematopathology (jr,sr, f/e)
Head and neck pathology (jr,sr, f/e)
Lymph node pathology (jr,sr, f/e)
Medical kidney pathology (jr,sr, f/e)
Molecular pathology (jr,sr, f/e)
Neuropathology (jr,sr, f/e)
Pediatric pathology (jr,sr, f/e)
Pulmonary pathology (jr,sr, f/e)
Placental pathology (jr,sr, f/e)
Soft tissue pathology (jr,sr, f/e) |
|---|
| | Difficulty | |
|---|
|